Gingivektomi
Fazla diş eti dokusunun kontrollü şekilde kesilerek dişlerin daha uzun ve orantılı görünmesinin sağlanması. Gummy smile (diş eti gülüşü) tedavisinde en sık uygulanan yöntem. Tıbbi olarak incelenmiştir. Son güncelleme: 20 Nisan 2026.
Gingivektomi ile Diş Eti Hattını Daha Sağlıklı ve Daha Dengeli Hale Getirin
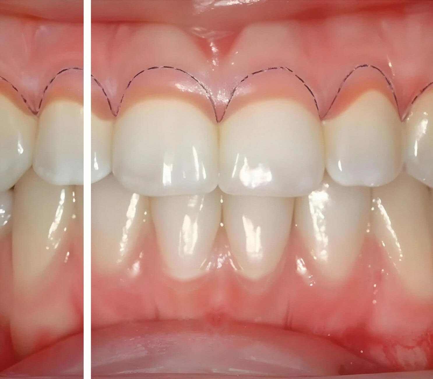
Bazı hastalarda diş eti dokusu olması gerekenden daha fazla görünebilir, düzensiz bir kontur oluşturabilir ya da diş eti cepleri nedeniyle periodontal açıdan sorunlu hale gelebilir. Bu gibi durumlarda gingivektomi, fazla veya problemli diş eti dokusunun kontrollü şekilde düzenlenmesi için değerlendirilebilir. Amaç yalnızca estetik görünümü değiştirmek değil; diş eti hattını daha sağlıklı, daha temizlenebilir ve daha dengeli bir yapıya kavuşturmaktır.
Gingivektomi Nedir?
Gingivektomi, diş eti dokusunun belirli bir kısmının kontrollü şekilde düzenlenmesi veya uzaklaştırılması işlemidir. Bu işlem, bazı periodontal problemlerde, diş eti fazlalığında veya diş eti hattının estetik olarak yeniden şekillendirilmesi gereken durumlarda değerlendirilebilir. Uygun planlama ile diş eti konturu daha dengeli hale getirilebilir ve dişlerin görünümü daha belirgin şekilde ortaya çıkarılabilir.
Diş eti fazlalığı, düzensiz diş eti hattı, bazı periodontal cep problemleri veya estetik nedenlerle değerlendirilebilir.
Tam olarak değil. Gingivektomi, diş eti estetiği uygulamalarının bir parçası olabilir; ancak daha teknik olarak belirli doku düzenlemelerini ifade eder.
Hayır. Gereklilik; diş eti sağlığı, doku yapısı, estetik ihtiyaç ve dişlerle olan ilişki değerlendirilerek belirlenir.


Detaylı Değerlendirme ile Doğru Doku Düzenlemesini Planlayın
Gingivektomide en önemli nokta, fazla görünen ya da sorun oluşturan diş eti dokusunun gerçekten hangi bölgede ve ne ölçüde düzenlenmesi gerektiğini doğru belirlemektir. Çünkü bazı hastalarda estetik ihtiyaç ön plandayken, bazı durumlarda periodontal sağlık daha belirleyici olabilir. Bu nedenle işlem öncesinde diş eti seviyesi, doku kalınlığı, kontur ve gülüş hattı birlikte değerlendirilmelidir.
- Diş eti seviyeleri ve kontur yapısı değerlendirilir.
- Doku fazlalığı ve periodontal ihtiyaç analiz edilir.
- Diş boyu ile diş eti hattı arasındaki estetik uyum incelenir.
- Doğal ve dengeli sonuç için kişiye özel planlama yapılır.
Riskler ve Komplikasyonlar
Doredent’te Bu Riskler Nasıl Yönetilir?
- Kemik seviyesi değerlendirmesi: Gingivektomi planlamasında alttaki kemik seviyesi dikkatle değerlendirilir. Kemik seviyesi yüksek olan vakalarda geri büyüme riski önceden tespit edilir ve hastaya açıklanır.
- Uzman hekim uygulaması: Doredent’te gingivektomi periodontoloji uzmanı tarafından uygulanır.
- Lazer destekli uygulama: Uygun vakalarda lazer kullanılarak daha az kanama, daha hızlı iyileşme ve daha konforlu süreç hedeflenir.
- Detaylı gülüş analizi: Estetik amaçlı gingivektomide diş eti seviyeleri, simetri, diş boyları ve gülüş hattı birlikte planlanır.
- Postoperatif takip: İyileşme süreci düzenli kontrollerle izlenir ve gerekirse düzeltme seansı planlanır.
Hangi Durumlarda Gereklidir?
- Diş eti fazlalığı kaynaklı gummy smile’da etkili çözüm.
- Dişlerin gerçek boyutu ortaya çıkar.
- Gülüş hattı daha dengeli ve proporsiyonel hâle gelir.
- Gummy smile’ın nedeni iskeletsel ise gingivektomi yeterli olmaz.
- Diş normal boyutta ama diş eti altında gizli.
- Gingivektomi ile diş boyları uzar.
- Gülüş hattı daha dengeli ve proporsiyonel hâle gelir.
- En sık ön üst dişlerde uygulanır.
- Fenitoin, siklosporin ve nifedipin en bilinen nedenlerdir.
- İlaç kullanımı devam ederse hiperplazi tekrarlayabilir.
- İlaç değişikliği mümkünse hekim ile konsülte edilir.
- Düzenli ağız hijyeni hiperplazi şiddetini azaltır.
- Kaplama veya lamine öncesi diş boyları eşitlenir.
- Diş eti iyileşmeden restoratif tedaviye geçilmez.
- Doğru sıralama nihai estetik sonucun kalitesini belirler.
- Pembe estetik kapsamında birlikte planlanır.
- Küretaj sonrası yeterli iyileşme sağlanamadığında değerlendirilir.
- Fazla yumuşak doku cerrahi olarak düzeltilir.
- Temizlenebilirlik artırılır ve nüksetme riski azaltılır.
- Periodontal sağlık amacıyla uygulanır, estetikten bağımsızdır.
İşlem Sonrası
İlk 24 Saat
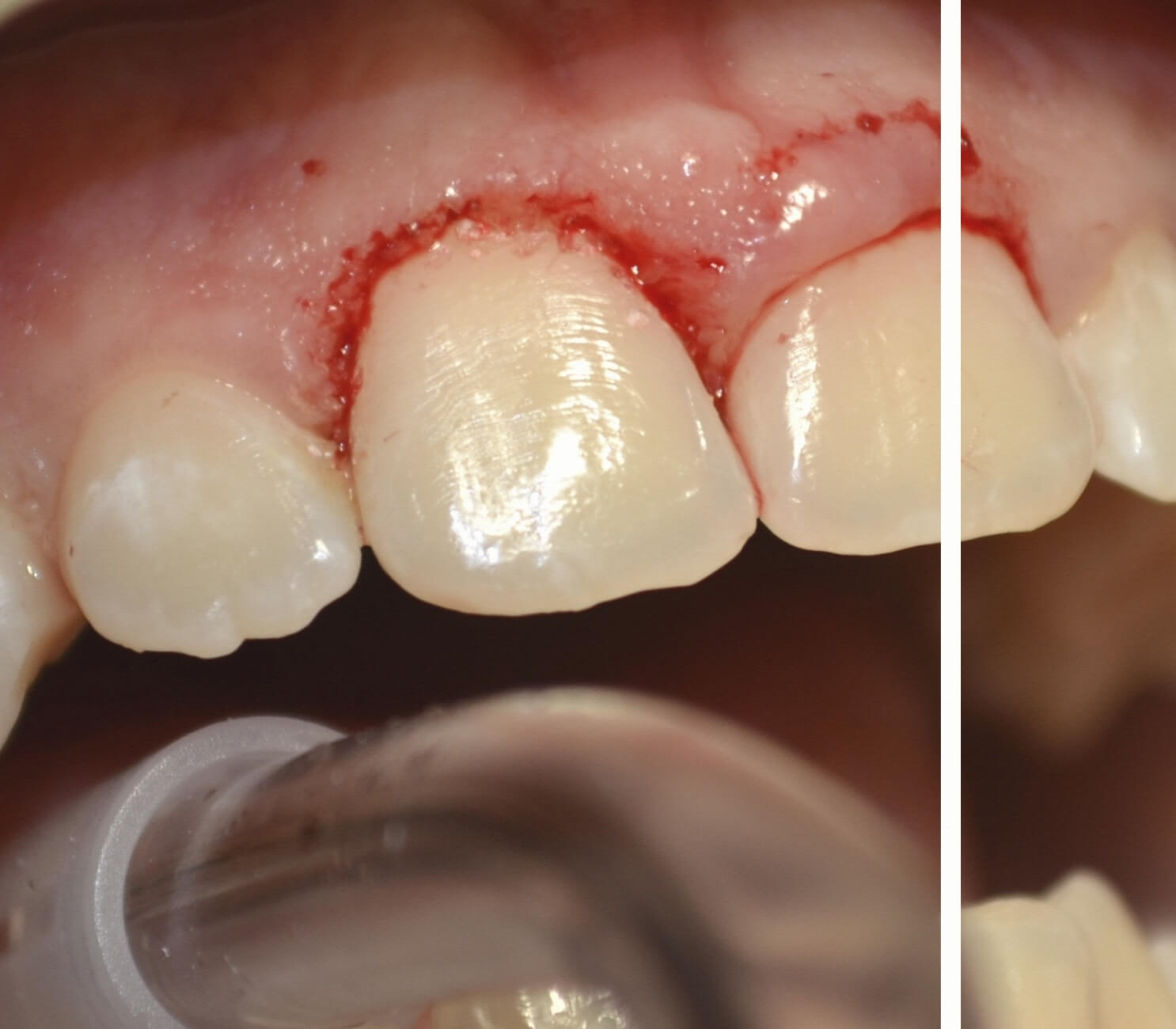
- Anestezi geçene kadar: Lokal anestezi etkisi 1-2 saat sürer. Bu sürede yemek yenmemeli, dudak ve yanak ısırılmamalıdır.
- Kanama: Lazer gingivektomide kanama çok azdır. Klasik yöntemde hafif sızıntı ilk birkaç saat normaldir. Belirgin kanama çok nadir görülür.
- Beslenme: İlk gün yumuşak ve ılık gıdalar tercih edilir. Sıcak, baharatlı, asitli ve sert gıdalardan kaçınılmalıdır. Tedavi edilen tarafla çiğnemekten kaçınılır.
- Sigara: Sigara iyileşmeyi yavaşlatır. En az 48 saat, ideal olarak bir hafta sigara içilmemelidir.
- Ağız bakımı: Tedavi edilen bölge ilk gün fırçalanmaz. Hekimin önerdiği antiseptik gargara (klorheksidin) kullanılır.
İlk Hafta: İyileşme
- Hassasiyet: Tedavi edilen bölgede birkaç gün hassasiyet normaldir. Açığa çıkan diş yüzeyinde sıcak-soğuk duyarlılığı hissedilebilir. Hassasiyet genellikle bir hafta içinde azalır.
- Diş eti görünümü: İyileşme sürecinde diş eti kırmızımsı ve hassas görünebilir. Bu durum normaldir; genellikle 1-2 hafta içinde pembe, sağlıklı görünüme dönmeye başlar.
- Fırçalama: İkinci günden itibaren çok yumuşak kıllı fırça ile tedavi edilen bölge nazikçe fırçalanmaya başlanır.
- Ağrı: Gingivektomi sonrası ağrı genellikle hafiftir. Lazer uygulamasında daha da az rahatsızlık beklenir. Hekimin önerdiği ağrı kesiciler yeterli olur.
Lazer Gingivektomi Avantajı
- Daha az kanama: Lazer kesim sırasında kan damarlarını kapatarak (koagülasyon) kanamayı minimize eder.
- Daha hızlı iyileşme: Lazer ile kesilen dokuda iyileşme genellikle bistüri ile kesilen dokuya göre daha hızlıdır.
- Dikiş ihtiyacının azalması: Birçok lazer gingivektomi vakasında dikiş gerekmez.
- Daha az postoperatif rahatsızlık: Ağrı ve şişlik klasik yönteme göre genellikle daha hafiftir.
- Bakterisidal etki: Lazer ışığının bakterileri öldürme etkisi enfeksiyon riskini ek olarak azaltır.
İyileşme Takvimi
- Lazer gingivektomi: Diş eti genellikle 7-10 gün içinde büyük ölçüde iyileşir. 2-3 haftada iyileşme tamamlanır.
- Klasik gingivektomi: İyileşme 2-3 hafta sürer. Dikiş atılmışsa 7-10 günde alınır.
- Estetik sonucun stabilize olması: Diş eti seviyesinin tamamen stabilize olması ve nihai estetik sonucun netleşmesi 4-6 hafta sürebilir.
- Restoratif tedaviye geçiş: Lamine, kaplama veya bonding planlanıyorsa diş eti tamamen iyileştikten sonra (4-6 hafta) bu tedavilere geçilir.
Beklenen İyileşmeler
- Dişler daha uzun ve proporsiyonel görünür: Fazla diş eti uzaklaştırıldığında dişlerin gerçek boyutu ortaya çıkar.
- Gülüş hattı daha simetrik hâle gelir: Düzensiz diş eti seviyeleri eşitlenir.
- Gummy smile azalır veya ortadan kalkar: Diş eti fazlalığı kaynaklı gummy smile vakalarında belirgin iyileşme.
- Temizlenebilirlik artar: Periodontal amaçlı vakalarda diş eti cepleri düzeltilerek ağız hijyeni kolaylaşır.
Gingivektomi Kimlere Uygulanır?
Gingivektomi en sık gummy smile (gülümserken diş etlerinin normalden fazla görünmesi) tedavisinde uygulanır. Dişler aslında normal boyuttadır ancak diş eti fazlası nedeniyle kısa görünür. Diş eti kesimi ile diş-diş eti oranı düzenlenir ve dişlerin gerçek boyutu ortaya çıkar.
Gummy smile dışında gingivektomi, ortodontik tedavi sonrası diş eti seviyelerinin eşitlenmesinde, diş eti büyümesinde (bazı ilaçların yan etkisi) ve kaplama öncesi diş boyunun artırılması gereken vakalarda da uygulanabilir.
Gingivektomi ve Diş Eti Çekilmesi Tedavisi: Tam Tersi İşlemler
Bu iki tedavi birbirine karıştırılmamalıdır. Gingivektomi fazla diş eti dokusunu keser (diş eti azaltılır), diş eti çekilmesi tedavisi ise eksik diş eti dokusunu greft ile tamamlar (diş eti artırılır). İkisi birbirinin tam tersidir ve farklı sorunlara çözüm sunar.
Gingivektomi Sonrası Estetik Tedaviler
Gingivektomi ile diş eti seviyesi düzeltildikten sonra dişlerin kendisine yönelik estetik tedaviler planlanabilir. Lamine kaplama, zirkonyum kaplama veya bonding ile dişlerin şekli, boyutu ve rengi optimize edilerek tam bir gülüş tasarımı elde edilir. Diş beyazlatma da bu sürecin parçası olabilir.
Invisalign veya diş teli tedavisi ile dişler düzeltildikten sonra diş eti seviyeleri hâlâ asimetrikse gingivektomi ile simetri sağlanır. Bu nedenle gingivektomi, pembe estetik kapsamındaki en yaygın işlemlerden biridir.
Gingivektomi Fiyatlandırması Hakkında
Doredent olarak fiyat şeffaflığına önem veriyoruz. Web sitemizde tedavi fiyatlarını doğrudan yayınlayamamamızın iki temel nedeni vardır: yürürlükteki yasal düzenlemeler sağlık hizmetlerinde fiyat reklamına izin vermez ve her vakanın kapsamı birbirinden farklıdır.
Gingivektomi'nin maliyeti; tedavi edilecek bölge sayısı, vakanın kapsamı ve uygulanan teknik gibi etkenlere göre değişir. Bu nedenle size doğru bir bilgi verebilmek için kişisel değerlendirme önemlidir.
Tedavi fiyatı hakkında net bilgi almak için WhatsApp üzerinden iletişime geçebilir veya ilk muayene randevusu oluşturabilirsiniz.
Sıkça Sorulan Sorular
Bu tedaviyle alakalı bize gelen soruları derledik ve olabildiğince açık ve şeffaf şekilde yanıtladık.
Gingivektomi, fazla veya sorunlu diş eti dokusunun kontrollü şekilde kesilmesi ve uzaklaştırılması işlemidir. Hem estetik (gülüş hattı düzeltme, gummy smile tedavisi, diş boylarının ortaya çıkarılması) hem de fonksiyonel (periodontal cep düzeltme, hijyen kolaylaştırma) amaçlarla uygulanabilir.
Gingivektomi, diş eti estetiği (pembe estetik) kapsamındaki spesifik bir prosedürdür. Pembe estetik daha geniş bir kavram olup gingivektominin yanı sıra diş eti grefti, seviye düzeltme ve restoratif tedavi öncesi hazırlık gibi uygulamaları da kapsar.
Doredent'te gingivektomi periodontoloji uzmanı tarafından uygulanır. Uygun vakalarda lazer destekli uygulama tercih edilerek daha az kanama, daha hızlı iyileşme ve daha konforlu süreç hedeflenir.
Gingivektomi lokal anestezi altında uygulandığı için işlem sırasında ağrı hissedilmez. Anestezi öncesi topikal anestezi jeli sürülerek iğne batma hissi de minimuma indirilir.
Tedavi sonrası rahatsızlık genellikle hafiftir ve 2-3 gün içinde belirgin şekilde azalır. Lazer gingivektomide postoperatif rahatsızlık klasik yönteme göre daha da azdır. Hekimin önerdiği ağrı kesiciler genellikle yeterli olur.
Açığa çıkan diş yüzeyinde ilk günlerde sıcak-soğuk hassasiyeti hissedilebilir; bu durum geçicidir ve diş eti iyileştikçe azalır. Çoğu hasta gingivektominin beklentilerinden çok daha konforlu bir deneyim olduğunu ifade eder.
Bu soru gingivektomi hakkında en sık sorulan ve en dürüst cevaplanması gereken sorulardan biridir. Kısa cevap: bazı vakalarda kısmen geri büyüme mümkündür; ancak çoğu vakada sonuç kalıcıdır.
Geri büyüme riski iki durumda daha yüksektir: alttaki kemik seviyesi yüksek olan vakalarda (kemik diş eti ile birlikte yukarıda konumlanmışsa gingivektomi ile kesilen diş eti kemiğin üzerine doğru geri büyüme eğilimi gösterebilir) ve ilaca bağlı diş eti hiperplazisi vakalarında (ilaç kullanımı devam ederse büyüme tekrarlayabilir).
Doredent'te gingivektomi planlamasında kemik seviyesi dikkatle değerlendirilir. Kemik seviyesinin yüksek olduğu vakalarda geri büyüme riski hastaya önceden açıklanır. Belirgin geri büyüme olursa basit bir düzeltme seansı ile çözülür. Kemik seviyesi normal olan vakalarda geri büyüme riski çok düşüktür ve sonuç kalıcıdır.
Lazer gingivektomi bazı önemli avantajlar sunar: daha az kanama (lazer kesim sırasında kan damarlarını kapatır), daha hızlı iyileşme, daha az postoperatif rahatsızlık, dikiş ihtiyacının azalması ve bakterisidal etki (enfeksiyon riskini azaltır).
Ancak lazer her vaka için ideal yöntem değildir ve klasik cerrahi tekniğin yerini tamamen almaz. Bazı vakalarda klasik bistüri ile daha hassas ve kontrollü kesim yapılması gerekebilir. Lazer, aracın kendisidir; sonucu belirleyen asıl faktör hekimin deneyimi ve tedavi planlamasıdır.
Doredent'te uygun vakalarda lazer destekli gingivektomi tercih edilir. Hangi yöntemin kullanılacağı vakanın klinik gereksinimine göre periodontoloji uzmanı tarafından belirlenir.
İşlem süresi tedavi edilecek diş sayısına ve vakanın kapsamına göre değişir. Birkaç dişte diş eti seviye düzeltme genellikle 20-30 dakikada tamamlanır. Daha kapsamlı gummy smile düzeltme veya çok sayıda dişte seviye eşitleme 45-60 dakika sürebilir.
İyileşme süresi uygulanan yönteme göre değişir: lazer gingivektomide diş eti 7-10 günde büyük ölçüde iyileşir, klasik yöntemde 2-3 hafta gerekebilir. Estetik sonucun tamamen stabilize olması 4-6 hafta sürer.
Gingivektomi genellikle tek seansta tamamlanır. Lamine, kaplama veya bonding gibi restoratif tedaviler planlanıyorsa bu tedaviler diş eti tamamen iyileştikten sonra (4-6 hafta) başlatılır.
Hayır. Gummy smile'ın (gülümserken aşırı diş eti görünümü) birden fazla nedeni olabilir ve tedavi yaklaşımı nedene göre değişir. Gingivektomi yalnızca diş eti fazlalığı kaynaklı gummy smile vakalarında etkilidir.
Gummy smile'ın olası nedenleri ve tedavi yaklaşımları: diş eti fazlalığı veya altered passive eruption durumunda gingivektomi etkili çözümdür. Üst dudağın aşırı hareketli olması (hipermobil üst dudak) durumunda gingivektomi tek başına yeterli olmaz; farklı yaklaşımlar gerekir. Üst çene kemik yapısının aşağıda olması (iskeletsel neden) durumunda ortognatik cerrahi değerlendirmesi gerekebilir.
Doredent'te gummy smile tedavisinde önce nedenin doğru tespit edilmesi hedeflenir. Neden diş eti fazlalığı ise gingivektomi planlanır; farklı bir nedene bağlıysa hastaya doğru tedavi seçeneği dürüstçe açıklanır.
Evet, ve aslında bu çok sık uygulanan bir kombinasyondur. Birçok hastada ideal gülüş estetiği yalnızca dişlere (beyaz estetik) veya yalnızca diş etlerine (pembe estetik) müdahale ile sağlanamaz; ikisinin birlikte planlanması gerekir.
Doğru sıralama şöyledir: önce gingivektomi ile diş eti seviyeleri düzeltilir ve diş boyları eşitlenir, diş eti tamamen iyileştikten sonra (4-6 hafta) lamine, zirkonyum kaplama veya bonding uygulanır. Bu sıralama son derece önemlidir: diş eti iyileşmeden yapılan restorasyonlarda kenar uyumu ve estetik sonuç istenilen düzeyde olmaz.
Doredent'te gingivektomi ve restoratif tedavi birlikte planlanır; iki süreç ayrı düşünülmez. Zamanlama ve sıralama ilk muayenede belirlenir.
Bu endişe özellikle estetik gingivektomi planlanan hastalarda yaygındır. Doğru planlanmış gingivektomide amaç dişleri "uzatmak" değil, diş etinin altında gizlenmiş olan gerçek diş boyunu ortaya çıkarmaktır. Sonuç dişlerin daha uzun görünmesi değil, daha proporsiyonel ve dengeli görünmesidir.
Gülüş estetiğinde dişlerin ideal boy/genişlik oranı vardır (genellikle üst orta kesicilerde 1:0.75-0.80). Gingivektomi bu orana ulaşmak için planlanır. Fazla diş eti uzaklaştırıldığında dişler bu ideal orana yaklaşır ve gülüş çok daha dengeli algılanır.
Doredent'te gingivektomi öncesi detaylı gülüş analizi yapılır. Diş eti seviyeleri, diş boyları, boy/genişlik oranları ve gülüş hattı birlikte değerlendirilir. Hastaya işlem öncesi beklenen sonuç açıkça gösterilir.
Çoğu vakada evet, gingivektomi sonucu kalıcıdır. Ancak kalıcılık iki faktöre bağlıdır: alttaki kemik seviyesi ve diş eti büyümesine neden olan etkenin devam edip etmediği.
Kemik seviyesi normal olan ve diş eti fazlalığı nedeniyle gingivektomi yapılan vakalarda sonuç kalıcıdır. Altered passive eruption (dişin diş eti altında gizli kalması) vakalarında gingivektomi ile ortaya çıkarılan diş boyutu kalıcı olarak korunur.
Geri büyüme riski olan durumlar: alttaki kemik seviyesi yüksekse (kemik diş eti ile birlikte yukarıda konumlanmışsa) diş eti kısmen geri büyüyebilir. İlaca bağlı hiperplazi vakalarında ilaç kullanımı devam ederse büyüme tekrarlar. Bu vakalarda düzeltme seansı veya ilaç değişikliği değerlendirilir.
Uzun vadeli kalıcılık için: düzenli ağız hijyeni, 6 ayda bir profesyonel diş taşı temizliği ve düzenli kontrol önemlidir.
Diş Hekimlerimiz
Alanında uzman hekimlerimizle tanışın.
Kaynaklar
Bu sayfadaki bilgiler, uluslararası diş hekimliği cemiyetlerinin güncel kılavuzlarına, hakemli bilimsel yayınlara ve akademik standart kabul edilen referans kitaplara dayandırılarak hazırlanmıştır.
Kaynakları Görüntüle(2)
- Herrera D, Adobes-Martin M, et al. Treatment of stage IV periodontitis: The EFP S3 level clinical practice guideline. Journal of Clinical Periodontology, 2022.
- Lang NP, Lindhe J. Lindhe's Clinical Periodontology and Implant Dentistry, 7th Edition. Wiley-Blackwell, 2022.
İçerik Bilgileri
Bu sayfa Dore Tıbbi Yayın Kurulu tarafından hazırlanmış ve Uzm. Dt. Merve Özkan Akagündüz tarafından tıbbi olarak incelenmiştir.



