SARPE
Cerrahi destekle üst çene ortası suturünün gevşetilmesi ve ardından genişletme apareyi ile iskeletsel genişleme. MARPE'nin yeterli olmadığı ileri yaş yetişkinlerde etkili çözüm. Tıbbi olarak incelenmiştir. Son güncelleme: 16 Nisan 2026.
İleri Düzey Üst Çene Darlığını Daha Kapsamlı Bir Yaklaşımla Değerlendirin
Üst çene darlığı bazı hastalarda yalnızca dişlerin dizilimini değil; kapanış ilişkisini, gülüş genişliğini, çapraz kapanışı ve genel çene uyumunu da etkileyebilir. Özellikle erişkin hastalarda belirgin üst çene darlığı söz konusu olduğunda, yalnızca ortodontik genişletme yeterli olmayabilir. SARPE, cerrahi destekle birlikte planlanan üst çene genişletmesi sayesinde bu tür vakalarda daha etkili ve kontrollü bir yaklaşım sunmayı amaçlar. Tedavi planı, ortodontik analiz ve cerrahi değerlendirme birlikte yapılarak kişiye özel oluşturulur.
SARPE Nedir?
SARPE, “Surgically Assisted Rapid Palatal Expansion” ifadesinin kısaltmasıdır. Türkçe karşılığıyla cerrahi destekli hızlı üst çene genişletme olarak tanımlanır. Bu yöntemde, üst çene darlığının derecesine göre cerrahi destekle genişletme planlanır ve ortodontik apareylerle süreç kontrol edilir. Özellikle erişkin hastalarda ve belirgin iskeletsel darlık bulunan durumlarda önemli bir tedavi seçeneği olabilir.
Belirgin üst çene darlığı bulunan, erişkin yaş grubunda olan ve klasik ortodontik genişletmenin yeterli olmayacağı düşünülen uygun hastalarda değerlendirilebilir.
Hayır. Her iki yöntem de üst çene darlığını ele almak için kullanılabilir; ancak SARPE cerrahi destekli bir yaklaşımdır. Hangi yöntemin uygun olduğu detaylı analiz sonrası belirlenir.
Bazı erişkin hastalarda üst çene darlığı yalnızca dişsel değil, daha çok iskeletsel düzeydedir. Bu gibi durumlarda daha kapsamlı bir genişletme yaklaşımı gerekebilir.


Detaylı Analiz ile Cerrahi Destek Gereksinimini Doğru Değerlendirin
SARPE tedavisinde en önemli nokta, üst çene darlığının düzeyini ve hastanın hangi genişletme yaklaşımı için uygun olduğunu doğru belirlemektir. Çünkü her üst çene darlığında cerrahi destek gerekmez. Hastanın yaşı, kemik yapısı, darlığın şiddeti, kapanış ilişkisi ve genel ortodontik ihtiyaç birlikte analiz edilmelidir. Bu nedenle tedavi öncesi planlama, sürecin en kritik aşamalarından biridir.
- Üst çene darlığının derecesi detaylı olarak değerlendirilir.
- Dişsel ve iskeletsel yapı birlikte analiz edilir.
- Çapraz kapanış ve çene uyumu incelenir.
- Cerrahi destek gereksinimi kişiye özel olarak planlanır.
Alternatif Tedaviler
MARPE (Mini Vida Destekli Hızlı Üst Çene Genişletme)
Geç ergenlik ve genç yetişkinlerde sutur olgunlaşması henüz ileri seviyede olmayan vakalarda cerrahi destek olmadan iskeletsel genişleme sağlanabilen bir yöntemdir. Mini vidalar damağa lokal anestezi altında yerleştirilir ve genişletme apareyi bu vidalar üzerinden çalışır. Cerrahi gerekmediği için SARPE’ye kıyasla daha az invazivdir.Avantajları:- Cerrahi gerekmez, genel anestezi riski yoktur.
- Hastanın iyileşme sürecine ihtiyacı olmaz.
- Maliyet açısından SARPE’ye göre belirgin şekilde uygundur.
- Ayaktan tedavi sürecidir.
- Uygun vakalarda iskeletsel genişleme sağlar.
- Yalnızca sutur olgunlaşması A, B veya C evresinde olan hastalarda etkilidir.
- Yaş aralığı genellikle 15-25 yaş ile sınırlıdır.
- Sutur tamamen kapanmış vakalarda başarısız olabilir.
- İleri darlık vakalarında SARPE kadar güvenilir genişleme sağlayamayabilir.
Geleneksel Hızlı Üst Çene Genişletme (RPE / Hyrax)
Çocuklarda ve büyüme dönemindeki ergenlerde üst damak suturü henüz açık olduğu için cerrahi destek olmadan doğrudan uygulanan klasik genişletme yöntemidir. Aparey azı dişlerine sabitlenir ve genişletme kuvveti dişler üzerinden iletilir. SARPE’nin alternatifi değil; aslında SARPE’nin gerekli olmadığı yaş grubu için tercih edilen geleneksel yöntemdir.Avantajları:- Mini vida veya cerrahi gerektirmez.
- Çocuk ve büyüme dönemindeki ergenlerde son derece etkili sonuç verir.
- Maliyet açısından MARPE ve SARPE’den belirgin şekilde uygundur.
- Klinik olarak çok iyi anlaşılmış, uzun yıllardır uygulanan bir yöntemdir.
- Yalnızca büyüme dönemindeki hastalarda etkilidir (genellikle 7-14 yaş).
- Yetişkinlerde dişlerde devrilmeye yol açar; gerçek iskeletsel genişleme sağlanamaz.
- Geç ergenlikten itibaren MARPE veya SARPE daha güvenilir sonuç verir.
Dental Genişletme (Sadece Ortodontik Tedavi)
Hafif düzey üst çene darlığı vakalarında, çenenin kendisini genişletmek yerine dişlerin pozisyonu değiştirilerek dar görünüm hafifletilebilir. Bu yaklaşıma dental genişletme veya dental kompanzasyon adı verilir. SARPE’nin alternatifi değil; gerçek iskeletsel darlık olmayan hafif vakalar için bir seçenektir.Avantajları:- Mini vida veya cerrahi gerektirmez.
- İnvaziv olmayan en hafif yaklaşımdır.
- Sadece ortodontik tedavi süreci işler, ek bir aşama yoktur.
- Hafif vakalarda uygun fonksiyonel sonuç verir.
- Çene kemiğinin gerçek genişliği değişmez.
- Sadece hafif darlık vakalarında etkilidir.
- Orta ve ileri darlık vakalarında yetersiz kalır.
- Burun solunumu güçlüğü gibi fonksiyonel sorunlara çözüm getirmez.
- Aşırı kompanzasyon dişlerin uzun vadeli sağlığını etkileyebilir.
Ortognatik Cerrahi ile Birlikte Genişletme
Bazı karmaşık vakalarda üst çene darlığı diğer iskeletsel anomalilerle birlikte görülür. Örneğin üst çene darlığı + üst çene yetersizliği, üst çene darlığı + Class III maloklüzyon veya üst çene darlığı + ileri açık kapanış gibi durumlarda izole bir SARPE yetersiz kalabilir. Bu vakalarda kapsamlı ortognatik cerrahi planlanır ve genişletme bu cerrahinin bir parçası olarak yapılır.Avantajları:- Karmaşık iskeletsel anomalilerin tek seansta düzeltilmesini sağlar.
- Üst çenenin hem genişletilmesi hem de pozisyon değişikliği yapılabilir.
- Bimaksiller cerrahi gibi karmaşık vakalarda kapsamlı çözüm sunar.
- SARPE’den çok daha kapsamlı bir cerrahi prosedürdür.
- Cerrahi süresi, iyileşme dönemi ve maliyet belirgin şekilde yüksektir.
- Sadece üst çene darlığının izole bir sorun olmadığı vakalar için uygundur.
Tedaviyi Ertelemek ve Düzenli Takip
Bazı hafif darlık vakalarında, hasta klinik açıdan önemli bir fonksiyonel veya estetik şikayeti yaşamıyorsa cerrahi yerine düzenli takip önerilebilir. Ancak bu yaklaşım üst çene darlığı SARPE gerektirecek seviyedeyse genellikle uygun değildir; çünkü SARPE seviyesindeki darlık zaten önemli klinik etkilere yol açar.Avantajları:- Hastaya gereksiz cerrahi yükü bindirilmez.
- Maliyet açısından en uygun yaklaşımdır.
- Çok hafif vakalarda zaman içinde durumun seyri izlenebilir.
- Üst çene darlığına bağlı sorunlar takip süresince devam eder.
- Çapraz kapanış, çapraşıklık veya solunum sorunları çözülmez.
- SARPE seviyesindeki darlıklarda klinik olarak uygun değildir.
Hangi Tedavi Size Uygun?
Üst çene darlığı tedavisinde doğru yöntem seçimi şu faktörlere bağlıdır:- Yaş ve sutur olgunlaşma seviyesi: Çocuk ve ergende RPE, geç ergenlik ve genç yetişkinde MARPE, ileri yetişkinde SARPE öne çıkar. Üç boyutlu konik ışınlı bilgisayarlı tomografi (CBCT) ile suturün kapanma derecesi (Angelieri sınıflandırması) değerlendirilir; bu MARPE veya SARPE kararının temelidir.
- Darlığın şiddeti: Hafif vakalarda dental kompanzasyon yeterli olabilirken orta ve ileri vakalarda iskeletsel genişletme gerekir.
- Eşlik eden ortodontik problemler: Çapraz kapanış, çapraşıklık veya alt çene anomalisi gibi durumlar tedavi planını şekillendirir. Karmaşık iskeletsel anomalilerde ortognatik cerrahi gündeme gelebilir.
- Hasta tercihi: Cerrahi yaklaşımdan kaçınmak isteyen ve uygun yaş grubunda olan hastalarda öncelikle MARPE değerlendirilir; ancak başarısız olma ihtimali olan vakalarda direkt SARPE önerilebilir.
- Genel sağlık durumu: Genel anestezi gerektiren cerrahi vakalarda hastanın genel sağlığı dikkate alınır.
Riskler ve Komplikasyonlar
Riski Artıran Faktörler
Bazı durumlar SARPE tedavisinde komplikasyon riskini artırabilir. Bu faktörler tedavinin yapılamayacağı anlamına gelmez; ancak ek değerlendirme, özel planlama veya bazı koşulların önce sağlanması gerektiği anlamına gelir.- Sigara ve tütün kullanımı: İyileşmeyi en olumsuz etkileyen faktörlerden biridir. Kanama riskini, enfeksiyon riskini ve kemik iyileşmesini olumsuz etkiler. Cerrahi öncesi en az 2-4 hafta ve cerrahi sonrası en az 4-6 hafta sigara tamamen bırakılmalıdır.
- Kontrol edilmeyen sistemik hastalıklar: Diyabet, kalp hastalığı, yüksek tansiyon, böbrek hastalıkları ve bağışıklık baskılayıcı tedaviler özellikle SARPE’de ek değerlendirme gerektirir. İlgili uzmanlar ile koordineli planlama yapılır.
- Kanama bozuklukları ve kan sulandırıcı ilaçlar: Bu hastalarda cerrahi öncesi hematoloji konsültasyonu ve ilaç yönetimi şarttır.
- Bisfosfonat ve biyolojik ajan kullanımı: Osteoporoz ilaçları ve bazı kanser ilaçları çene kemiği iyileşmesini ciddi şekilde etkileyebilir. Bu ilaçların kullanım öyküsü mutlaka sorgulanır.
- Kronik sinüs sorunları: Mevcut kronik sinüzit veya sinüs anomalisi olan hastalarda cerrahi öncesi KBB konsültasyonu önerilir.
- Aktif diş eti hastalığı veya çürükler: Cerrahi öncesi tüm aktif ağız sağlığı sorunları çözülmelidir. Diş taşı temizliği, çürük tedavileri ve gerekirse kuretaj tamamlanır.
- Yetersiz ağız hijyeni: Aparey çevresinde plak birikimi enfeksiyon riskini artırır. Hijyen alışkanlıklarının tedavi öncesi geliştirilmesi önemlidir.
- Aktivasyon protokolüne uyumsuzluk: Hasta evde aktivasyon vidalarını hekimin önerdiği şekilde çevirmezse genişletme istenen düzeyde olmaz. Tedavi süresi uzar ve sonuç beklentilerin altında kalır.
- İleri yaş: Yaş ilerledikçe genel anestezi riski ve iyileşme süresi artar. Ancak yaş tek başına cerrahiye engel değildir; genel sağlık durumu daha belirleyicidir.
- Gerçekçi olmayan beklentiler: Hastanın cerrahi sonuçlarından beklentilerinin gerçekçi olması tedavi memnuniyeti için kritik öneme sahiptir. Burun şeklinde değişiklik gibi yan etkiler önceden açıkça konuşulur.
- Pekiştirme protokolüne uyumsuzluk: Aktif genişletme sonrasında apareyin erken çıkarılması nüks riskini ciddi şekilde artırır. Pekiştirme protokolüne sıkı sıkıya uyulması esastır.
- Kontrol randevularının aksatılması: Tedavi süresince düzenli klinik takip aktif genişletme dönemini güvenli ve etkili hâle getirir. Aksamalar komplikasyon riskini artırır.
Doredent’te Bu Riskler Nasıl Yönetilir?
SARPE’de olası risklerin büyük çoğunluğu doğru hasta seçimi, kapsamlı planlama, deneyimli ekip ve düzenli takiple minimize edilebilir. Doredent’te uygulanan yaklaşımın temel başlıkları şunlardır:- Detaylı klinik ve radyolojik değerlendirme: Cerrahi öncesi panoramik röntgen, sefalometrik analiz ve özellikle üç boyutlu konik ışınlı bilgisayarlı tomografi (CBCT) ile sutur olgunlaşma seviyesi (Angelieri sınıflandırması), damak anatomisi, sinir-damar yapıları ve cerrahi planlama için gerekli tüm ölçümler ayrıntılı olarak yapılır.
- Doğru hasta seçimi: Tedavi yalnızca SARPE için klinik olarak uygun hastalarda planlanır. Daha az invaziv yöntemlerle (MARPE veya RPE) çözülebilecek vakalarda gereksiz cerrahi yapılmaz.
- Multidisipliner ekip yaklaşımı: Ortodonti uzmanı Uzm. Dt. Merve Özkan Akagündüz ile Ağız, Diş ve Çene Cerrahisi Uzmanı Uzm. Dt. Tayfun Cıvak arasındaki uzun yıllardır süren partnerlik koordineli ve kesintisiz bir tedavi süreci sağlar.
- Anestezi öncesi değerlendirme: Cerrahi öncesi anestezi uzmanı tarafından detaylı değerlendirme yapılır. Genel sağlık durumu, mevcut hastalıklar ve kullanılan ilaçlar incelenir.
- Hastane ortamında cerrahi: SARPE anlaşmalı bir hastanede genel anestezi altında uygulanır. Modern cerrahi protokoller, sterilizasyon kuralları ve post-operatif takip imkanları mevcuttur.
- Ön hazırlık tedavileri: Cerrahi öncesi tüm aktif ağız sağlığı sorunları, beslenme durumu ve sistemik hastalıkların kontrolü sağlanır.
- Hasta bilgilendirmesi: Tüm seçenekler, beklenen sonuçlar, riskler ve sınırlamalar açıkça anlatılır. Hastanın bilinçli karar vermesi sağlanır. Hiçbir karar dayatılmaz.
- Detaylı post-operatif takip: Cerrahi sonrası ilk dönemde sık kontrol randevuları ile iyileşme süreci yakından izlenir. Aktivasyon süreci ve pekiştirme dönemi Doredent’te yürütülür.
- Acil durum protokolü: Cerrahi sonrası dönemde olası acil durumlar için hasta detaylı şekilde bilgilendirilir; iletişim kanalları açık tutulur.
Kimler İçin Uygundur?
Önemli Bir Ön Şart: Sutur Olgunlaşma Seviyesi
- Genellikle 25 yaş üstü hastalar.
- Cerrahi kesimle güvenilir genişleme sağlanır.
- Pekiştirme süreci dahil tedavi 6-12 ay sürer.
- Multidisipliner ekip ile yürütülür.
- MARPE sonrası dental devrilme görülen vakalar.
- İskeletsel genişleme elde edilememiş vakalar.
- Yeniden CBCT ile detaylı değerlendirme yapılır.
- Cerrahi planlama vakaya özel hazırlanır.
- Belirgin yapısal darlık vakaları.
- Daha fazla iskeletsel genişleme imkânı sunar.
- Hava yolu desteği de sağlanabilir.
- Karmaşık ortodontik planlama gerektirir.
- Çiğneme dengesi yeniden kurulur.
- Asimetrik kapanış vakalarında etkili sonuç verir.
- Çene eklemi rahatlaması sağlanabilir.
- SARPE sonrası ortodontik tamamlama gerekir.
- Sağlıklı dişlerin çekiminden kaçınılır.
- Ortodontik tedavi süresi optimize edilir.
- Çene boyutu ortodontik hedeflere uyumlu hâle getirilir.
- Kapsamlı tedavi planının ilk aşaması olarak uygulanır.
- Bimaksiller cerrahi öncesi hazırlık olarak.
- Üst çene yetersizliği ile birlikte görülen vakalar.
- Karmaşık iskeletsel anomalilerin tedavisinde.
- Cerrahi planlama vakaya özel yapılır.
- İleri uyku apnesi vakalarında ortognatik cerrahi gerekebilir.
- Uyku tıbbı ve KBB uzmanı ile koordineli planlama yapılır.
- Polisomnografi ile değerlendirme önerilir.
- Tek başına yeterli olmayabilir; ek tedaviler gerekebilir.
- Daha geniş ve dolu bir gülüş elde edilir.
- Yüz oranlarının dengesi iyileşir.
- Yanlardaki karanlık alan azalır.
- Estetik beklentinin yüksek olduğu vakalarda öne çıkar.
Hangi Hastalar İçin Ek Değerlendirme Gerekir?
Bazı durumlarda SARPE öncesinde ek değerlendirme, hazırlık veya farklı bir planlama gerekir. Bu, cerrahinin yapılamayacağı anlamına gelmez; çoğu zaman ek bir aşamanın tedaviye eklenmesi ya da belirli koşulların önce sağlanması gerektiği anlamına gelir.- MARPE için uygun hastalar: Sutur olgunlaşma seviyesi A, B veya C evresinde olan vakalarda MARPE önce denenir. SARPE sadece daha az invaziv yöntemler yetersiz kaldığında veya başarısız olduğunda gündeme gelir.
- Çocuklar ve büyüme dönemindeki ergenler: 7-14 yaş arasındaki çocuklarda sutur henüz açık olduğu için klasik hızlı genişletme apareyi (RPE) genellikle yeterlidir. SARPE bu yaş grubunda kesinlikle önerilmez.
- Hafif darlık vakaları: Sadece dental kompanzasyonla çözülebilecek hafif darlık vakalarında SARPE gereksiz invaziv kalır.
- Aktif sigara ve tütün kullanıcıları: Sigara iyileşmeyi ciddi şekilde olumsuz etkiler. Cerrahi öncesi en az 2-4 hafta ve cerrahi sonrası en az 4-6 hafta sigara tamamen bırakılmalıdır.
- Kontrol edilmeyen sistemik hastalıklar: Diyabet, kalp hastalığı, yüksek tansiyon, böbrek veya karaciğer hastalıkları ve bağışıklık baskılayıcı tedaviler ek değerlendirme gerektirir. İlgili uzmanlar ile koordineli planlama yapılır.
- Kanama bozuklukları olan hastalar: Hematoloji konsültasyonu ve özel cerrahi planlama gerektirir.
- Kan sulandırıcı ilaç kullananlar: Cerrahi öncesi ilaç yönetimi mutlaka kardiyoloji veya iç hastalıkları uzmanı ile koordineli yapılır.
- Bisfosfonat ve biyolojik ajan kullanımı: Bu ilaçlar çene kemiği iyileşmesini etkileyebilir. Kullanım öyküsü mutlaka sorgulanır.
- Kronik sinüs sorunları: Mevcut kronik sinüzit veya sinüs anomalisi olan hastalarda KBB konsültasyonu önerilir.
- Aktif diş eti hastalığı veya çürükler: Cerrahi öncesinde tüm aktif ağız sağlığı sorunları çözülmelidir. Diş taşı temizliği, çürük tedavileri ve gerekirse kuretaj tamamlanır.
- Hamilelik dönemi: Hamilelik süresince SARPE planlanmaz; doğum sonrasına ertelenir. Cerrahi öncesi gebelik kontrolü yapılır.
- Psikolojik açıdan hazır olmayan hastalar: SARPE süreci uzun ve zorludur. Hastanın psikolojik olarak süreçle başa çıkacak durumda olması önemlidir.
- Gerçekçi olmayan estetik beklentileri olan hastalar: Cerrahi sonrası burun şeklinde değişiklik gibi yan etkiler önceden açıkça konuşulur. Beklentilerin gerçekçi olmaması memnuniyetsizliğe yol açabilir.
- İleri yaştaki hastalar: Yaş tek başına SARPE’ye engel değildir; ancak genel sağlık durumu, anestezi toleransı ve iyileşme kapasitesi detaylı değerlendirilir.
- Aktivasyon protokolüne uyum sağlayamayacak hastalar: SARPE’de hasta cerrahiden sonra evde aktif aktivasyon yapar. Disiplinli aktivasyon protokolüne uyum sağlayamayacak hastalarda alternatif yaklaşım değerlendirilebilir.
Tedavi Sürecine Hazır Olmak Ne Demek?
SARPE sadece klinik olarak uygun olmak değil, aynı zamanda hastanın bu sürece hazır olması anlamına gelir. Tedavi yolculuğu cerrahi, aktif aktivasyon dönemi, pekiştirme ve ortodontik tamamlama dahil 6-12 ay sürebilir. Hastanın bu sürece pratik ve psikolojik olarak hazırlıklı olması tedavi başarısını doğrudan etkiler.- Zaman taahhüdü: Tedavi süresince düzenli kontrol randevularına gelmek, aktivasyon protokolüne uymak ve cerrahi sonrası iyileşme dönemini geçirmek için zaman ayırmak.
- İş ve sosyal hayat planlaması: Cerrahi sonrası en az 1-2 hafta iş ve sosyal hayatın kısıtlanması gerektiği için bu dönem önceden planlanmalı.
- Aile desteği: Cerrahi sonrası ilk dönemde aile veya yakın çevre desteği önemlidir.
- Psikolojik hazırlık: Aparey damakta varlığı, geçici beslenme zorlukları ve aktivasyon süresince diastema görüntüsü gibi durumlarla başa çıkma psikolojik güç gerektirir.
- Maddi planlama: SARPE cerrahi prosedür olduğu için maddi açıdan da planlamanın önceden yapılması önerilir.
İlk Muayenede Hangi Adımlar Yapılır?
SARPE’nin sizin için uygun olup olmadığı, ilk muayenede yapılan kapsamlı değerlendirme sonrasında belirlenir. Bu değerlendirmenin temel adımları şunlardır:- Klinik muayene: Ortodonti uzmanımız Uzm. Dt. Merve Özkan Akagündüz tarafından üst çene darlığının derecesi, kapanış ilişkisi, dişlerin pozisyonu ve genel ortodontik durum incelenir.
- Üç boyutlu konik ışınlı bilgisayarlı tomografi (CBCT): Sutur olgunlaşma seviyesi (Angelieri sınıflandırması) değerlendirilir; bu MARPE veya SARPE kararının temelidir. Damak anatomisi, sinüs yapıları ve cerrahi için kritik anatomik yapılar detaylı olarak incelenir.
- Sefalometrik analiz: Çene-yüz ilişkisi ve dişlerin pozisyonu ortodontik hedefler açısından değerlendirilir.
- Multidisipliner planlama: SARPE gerektiği belirlendiğinde anlaşmalı çene cerrahımız Uzm. Dt. Tayfun Cıvak ile koordineli planlama başlar. Cerrahi tekniği, kesim hatları ve aktivasyon protokolü birlikte belirlenir.
- Anestezi konsültasyonu: Cerrahi öncesi anestezi uzmanı tarafından genel sağlık değerlendirmesi yapılır.
- Hasta bilgilendirmesi: Tedavi süresi, cerrahi süreç, aktivasyon protokolü, beklenen sonuç, riskler ve maliyet açıkça anlatılır. Karar hasta ile birlikte verilir.
Tedavi Sonrası
İlk 24 Saat: Hastane Dönemi
SARPE sonrası ilk 24 saat hastanede yatış ile geçer. Bu dönemde hasta sürekli takip altındadır ve cerrahi sonrası erken dönem komplikasyonları açısından gözlenir.- Servis takibi: Cerrahi sonrası ilk birkaç saat anestezi sonrası uyanma, hava yolu güvenliği ve genel durum açısından yakından izlenir.
- Şişlik ve morluk: Yüzde belirgin şişlik ilk birkaç saat içinde başlar; bu beklenen bir süreçtir. Soğuk kompres uygulaması ve baş yüksekliği şişliği azaltmaya yardımcı olur.
- Ağrı yönetimi: Ağrı kontrolü intravenöz ağrı kesicilerle sağlanır. Hasta ağrıyı tolere edebilir hâle geldiğinde oral ağrı kesicilere geçilir.
- Beslenme: İlk 24 saat içinde sıvı beslenme başlar. Su, taze sıkılmış meyve suları, çorba ve süt ürünleri tercih edilir.
- Antibiyotik tedavisi: Profilaktik antibiyotik tedavisi başlatılır ve cerrahi sonrası belirli süre devam eder.
- Ağız hijyeni: Cerrahi alanın temizliği için özel hijyen protokolleri başlatılır. Ilık tuzlu su ile gargara veya hekiminizin önereceği özel ağız çalkalama solüsyonları kullanılır.
Bekleme Dönemi (Latency Period): 5-7 Gün
Cerrahi sonrası ilk 5-7 gün önemli bir bekleme dönemidir. Bu süreçte aktivasyon yapılmaz; cerrahi alanın ilk iyileşmesi ve yeni kemik oluşumunun (kallus formasyonu) başlaması beklenir.- Aktivasyon yapılmaz: Bu dönemde hasta aktivasyon vidasını çevirmez. Erken aktivasyon yeni kemik oluşumunu olumsuz etkileyebilir.
- İyileşme süreci: Cerrahi sırasında oluşturulan kesim hatlarında yeni kemik dokusunun başlangıcı (kallus) bu dönemde oluşur.
- Şişliğin azalmaya başlaması: Cerrahi sonrası 2-3 günden sonra şişlik kademeli olarak azalmaya başlar. Soğuk kompres uygulamaya devam edilir.
- Beslenme: Yumuşak ve sıvı gıdalarla beslenilir. Çorba, yoğurt, smoothie, püre, yumurta gibi yumuşak seçenekler tercih edilir.
- Ağız hijyeni: Cerrahi bölgesi nazikçe temizlenmelidir. Hekiminizin önerdiği özel hijyen protokollerine sıkı sıkıya uyulması enfeksiyon riskini minimize eder.
- İlaç kullanımı: Anlaşmalı çene cerrahımız Uzm. Dt. Tayfun Cıvak tarafından reçete edilen antibiyotik ve ağrı kesiciler düzenli kullanılır.
- Sigara ve alkol: Cerrahi sonrası en az 4-6 hafta sigara ve alkolden tamamen uzak durulması güçlü şekilde önerilir.
- Aktivite kısıtlaması: Bu dönemde yoğun fiziksel aktivite, ağır kaldırma ve egzersiz yasaktır. Yürüyüş gibi hafif aktiviteler güvenlidir.
Aktif Aktivasyon Dönemi (2-4 Hafta)
Bekleme döneminin ardından Uzm. Dt. Merve Özkan Akagündüz tarafından yapılan kontrolde aktivasyona başlama kararı verilir. Hasta evde günlük olarak aktivasyon vidasını çevirmeye başlar.- Günlük aktivasyon: Hasta evde belirlenen protokole göre aktivasyon vidasını çevirir. Aktivasyon hızı (genellikle günde 0.25-0.5 mm) hasta için planlanır.
- Aktivasyon süresi: Bu dönem genellikle 2-4 hafta sürer. Hedeflenen genişleme miktarına ulaşıldığında aktivasyon sonlandırılır.
- Diastema gözlemi: Aktif genişletme sürecinde üst orta hattaki birleşim noktası açıldığı için ön iki diş arasında belirgin bir boşluk oluşur. Bu, SARPE’nin başarılı şekilde işlediğinin olumlu bir göstergesidir; endişelenecek bir durum değildir.
- Aktivasyon sırasında baskı hissi: Vidayı çevirdikten sonra dişlerde, damakta ve burun-yüz bölgesinde geçici baskı hissi yaşanabilir. Bu durum genellikle birkaç saat içinde geçer.
- Beslenme: Bu dönemde yumuşak ve dikkatli beslenme önerilir. Sert, yapışkan ve apareye zarar verebilecek gıdalardan kaçınılır.
- Ağız hijyeni: Aparey çevresinde plak birikimini önlemek için titiz ağız hijyeni uygulanır. Yumuşak diş fırçası, su jeti ve antiseptik ağız çalkalama solüsyonu kullanılır.
- Klinik kontroller: Bu dönemde Merve Hoca tarafından sık kontrol randevuları planlanır. Genişlemenin gidişi ve dişlerin durumu değerlendirilir.
Pekiştirme Dönemi (4-6 Ay)
Aktif genişletme tamamlandıktan sonra SARPE apareyi hemen çıkarılmaz. Aparey en az 4-6 ay süreyle damakta pekiştirme amacıyla kalır. Bu dönem SARPE’nin uzun vadeli başarısı için kritik bir aşamadır.- Yeni kemiğin olgunlaşması: Aktif genişletme döneminde sutur açıldığı için iki kemik parçası arasında yeni kemik oluşumu (kallus) başlar. Bu yeni kemiğin tam olarak olgunlaşması ve sertleşmesi 4-6 ay sürer. Bu süreçte aparey damakta sabit kalarak yeni kemik dokusunu korur.
- Aktif aktivasyon yapılmaz: Pekiştirme döneminde hasta artık vidayı çevirmez. Aparey sadece pekiştirme görevi görür.
- Periyodik kontroller: Bu dönemde Merve Hoca tarafından düzenli kontrol randevuları yapılır. Aparey kontrolü ve ağız hijyeni değerlendirilir.
- Ağız hijyeninin sürmesi: Pekiştirme döneminde de hijyene titizlikle dikkat edilmeye devam edilmelidir.
- Diastema yönetimi: Pekiştirme döneminde ön dişler arasındaki boşluk doğal olarak kısmen kapanmaya başlayabilir. Tam kapatma sonraki ortodontik tedavi ile sağlanır.
SARPE Apareyinin Çıkarılması
Pekiştirme dönemi tamamlandıktan ve klinik olarak yeni kemik dokusunun yeterince olgunlaştığından emin olunduktan sonra SARPE apareyi çıkarılır. Bu işlem genellikle ağrısızdır ve klinik koşullarda kısa sürede tamamlanır.- Apareyin sökülmesi: Aparey damaktan çıkarılır; dişler üzerinde herhangi bir kalıcı işaret bırakmaz.
- Damak adaptasyonu: Aparey çıkarıldıktan sonra dilin damağa yeniden alışması birkaç gün sürebilir. Bu süreç kısa ve kolaydır.
- Genel değerlendirme: Aparey çıkarıldıktan sonra elde edilen genişleme, kapanış ilişkisi ve dişlerin pozisyonu tekrar değerlendirilir.
- Sonraki aşama planlaması: Aparey çıkarıldıktan sonra ortodontik tamamlama dönemine geçilir.
Sonraki Aşama: Ortodontik Tamamlama
SARPE tek başına bir tedavi değildir; üst çene genişletme aşamasıdır. Aparey çıkarıldıktan sonra dişlerin nihai pozisyona getirilmesi ve kapanış ilişkisinin düzenlenmesi için ortodontik tedavi başlar. Bu aşama Doredent’te Merve Hoca tarafından yürütülür.- Tedavi seçeneği: Hastanın tercihine ve klinik duruma göre Invisalign şeffaf plak tedavisi veya klasik diş teli tedavisi uygulanabilir. Diamond Provider deneyimi ile Invisalign tedavisi öne çıkan bir seçenek olarak sunulur.
- Diastema kapatılması: Aktif genişletme sonrasında oluşan ön diş arası boşluk ortodontik tedavi ile kademeli olarak kapatılır. Bu süreç genellikle birkaç ay sürer.
- Çapraz kapanış düzeltmesi: Eğer hastada üst çene darlığına eşlik eden çapraz kapanış varsa bu da ortodontik tedavi ile düzeltilir.
- Dişlerin nihai dizilimi: Genişletilmiş üst çenede dişlerin ideal pozisyona getirilmesi sağlanır.
- Kapsamlı tedavi süresi: SARPE sonrası ortodontik tamamlama 12-24 ay sürebilir. Bu süre vakanın klinik gereksinimine bağlıdır.
Pekiştirme Tedavisi (Retansiyon)
Tüm ortodontik tamamlama bittikten sonra ortodontik pekiştirme tedavisi başlar. Bu, tedavi sonuçlarının uzun vadede korunmasını sağlayan ayrılmaz bir aşamadır.- Sabit lingual retainer: Ön dişlerin arka yüzeyine yapıştırılan ince bir tel ile dişlerin pozisyonu sürekli korunur. Yetişkin ortodontik tedavinin standart pekiştirme yöntemidir.
- Gece plağı: Sabit retainer’a ek olarak gece plağı kullanımı önerilir. İlk yıl her gece, sonraki yıllarda haftada birkaç gece kullanım yeterli olabilir.
- Vivera (opsiyonel): Yüksek kaliteli şeffaf retainer plak sistemi olarak Vivera tercih edilebilir. Üç setli paketi sayesinde uzun süre dayanır.
- Genişlik retansiyonu: SARPE sonrasında nüksü önlemek için bazı vakalarda ek bir damak retansiyon apareyi de önerilebilir. Bu, elde edilen iskeletsel genişlemenin korunması için önemlidir.
- Yıllık kontroller: Pekiştirme döneminde yılda en az bir kez ortodontik kontrol yapılır. Retainer’ın durumu ve dişlerin pozisyonu değerlendirilir.
Uzun Vadeli Bakım ve Takip
SARPE ile elde edilen sonuçların uzun vadede korunması için bazı alışkanlıklar önemlidir. Bu alışkanlıklar tedavi sonuçlarının ömür boyu sağlığını destekler.- Pekiştirme protokolüne uyum: Hekimin önerdiği gece plağı ve retainer kullanım protokolüne sıkı sıkıya uyulmalıdır. Pekiştirmenin atlanması nüksün ana nedenidir.
- Düzenli ağız hijyeni: Günde iki kez fırçalama, diş ipi kullanımı ve düzenli ağız bakımı uzun vadeli ağız sağlığının temelidir.
- 6 ayda bir rutin diş hekimi kontrolü: Standart 6 ayda bir kontrol hem ortodontik durumu hem de genel ağız sağlığını takip etmek için yeterlidir.
- Yıllık ortodontik kontrol: Pekiştirme döneminde yılda en az bir kez ortodontik kontrol yapılması retainer’ın durumu ve genişlik stabilitesi açısından önemlidir.
- Profesyonel diş taşı temizliği: Düzenli kontrollerde gerekli görüldüğünde profesyonel temizlik uygulanır.
- Bruksizm yönetimi: Gece diş sıkma alışkanlığı varsa hekimin önerdiği gece plağı düzenli kullanılmalıdır. Bruksizm tedavi sonrası nüksün önemli bir nedeni olabilir.
- Sigara ve alkolden kaçınma: Genel ağız ve diş sağlığını desteklemek için sigara ve alkolün azaltılması önerilir.
SARPE Sonrası Beklenen İyileşmeler
Başarılı bir SARPE tedavisi sonrasında hastalar genellikle şu iyileşmeleri yaşar:- Üst çene genişliğinin gerçek anlamda artması: Sutur olgunlaşması ileri vakalarda bile gerçek iskeletsel genişleme sağlanır.
- Çapraz kapanışın kalıcı düzelmesi: İleri çapraz kapanış vakalarında kapanış ilişkisi normalleşir.
- Çapraşıklığın azalması: Üst çenede yer açıldığı için çapraşık dişlere ortodontik tedavi ile yer kazanılır; sağlıklı dişlerin çekiminden kaçınılır.
- Daha geniş ve dolu gülüş: Gülerken yanlardaki karanlık alan azalır, gülümseme estetiği iyileşir.
- Burun solunumunun iyileşmesi: Nazal kavite hacmi arttığı için burun solunumu kalitesi iyileşebilir; bu hastalarda yaşam kalitesi belirgin şekilde artar.
- Hafif uyku apnesinde iyileşme: Hava yolu desteklenir; hafif ve orta uyku apnesi vakalarında iyileşme görülebilir.
- Karmaşık ortodontik planlamanın temelinin atılması: Diğer ortodontik tedavilerin başarılı şekilde yürütülmesine zemin hazırlanır.
Nadir Görülen Sorunlar ve Yönetimi
SARPE sonrası nadir görülen sorunlarla karşılaşılabilir. Bu sorunların erken fark edilmesi ve hızlı müdahalesi tedavi başarısı için önemlidir.- Kısmi nüks: Pekiştirme protokolüne uyum sağlanamadığında kısmi nüks görülebilir. Erken fark edilirse ek retansiyon ile yönetilebilir.
- Kalıcı sinir hassasiyeti: Çoğu vakada geçici sinir hassasiyeti tamamen düzelir. Nadiren bir miktar kalıcı duyu değişikliği olabilir; bu duruma adapte olunabilir.
- Asimetrik genişleme sonucu: Cerrahi sonrası asimetrik genişleme tespit edilirse aktivasyon protokolü ayarlanır; ileri vakalarda ek ortodontik düzenlemeler gerekebilir.
- Sinüs sorunlarının kötüleşmesi: Mevcut kronik sinüs sorunları olan hastalarda cerrahi sonrası bu durum nadiren kötüleşebilir; KBB konsültasyonu ile yönetilir.
- İkinci cerrahi ihtiyacı: Çok nadiren beklenen sonuca tam olarak ulaşılamayabilir; bu durumda ek cerrahi düzeltme planlanabilir.
- Estetik beklenti uyumsuzluğu: Cerrahi sonrası burun şeklindeki değişiklik hastanın beklentisinden farklı olursa ek estetik tedaviler değerlendirilebilir.
Hastaya Önemli Bir Mesaj
Cerrahi Destekli Üst Çene Genişletme (SARPE) Fiyatlandırması Hakkında
Doredent olarak fiyat şeffaflığına önem veriyoruz. Web sitemizde tedavi fiyatlarını doğrudan yayınlayamamamızın iki temel nedeni vardır: yürürlükteki yasal düzenlemeler sağlık hizmetlerinde fiyat reklamına izin vermez ve her vakanın kapsamı birbirinden farklıdır.
Cerrahi Destekli Üst Çene Genişletme (SARPE)'nin maliyeti; cerrahi kapsamı, kullanılan apareyler, hastane masrafları ve tedavi sonrası ortodontik takip süresi gibi etkenlere göre değişir. Bu nedenle size doğru bir bilgi verebilmek için kişisel değerlendirme önemlidir.
Tedavi fiyatı hakkında net bilgi almak için WhatsApp üzerinden iletişime geçebilir veya ilk muayene randevusu oluşturabilirsiniz.
Sıkça Sorulan Sorular
Bu tedaviyle alakalı bize gelen soruları derledik ve olabildiğince açık ve şeffaf şekilde yanıtladık.
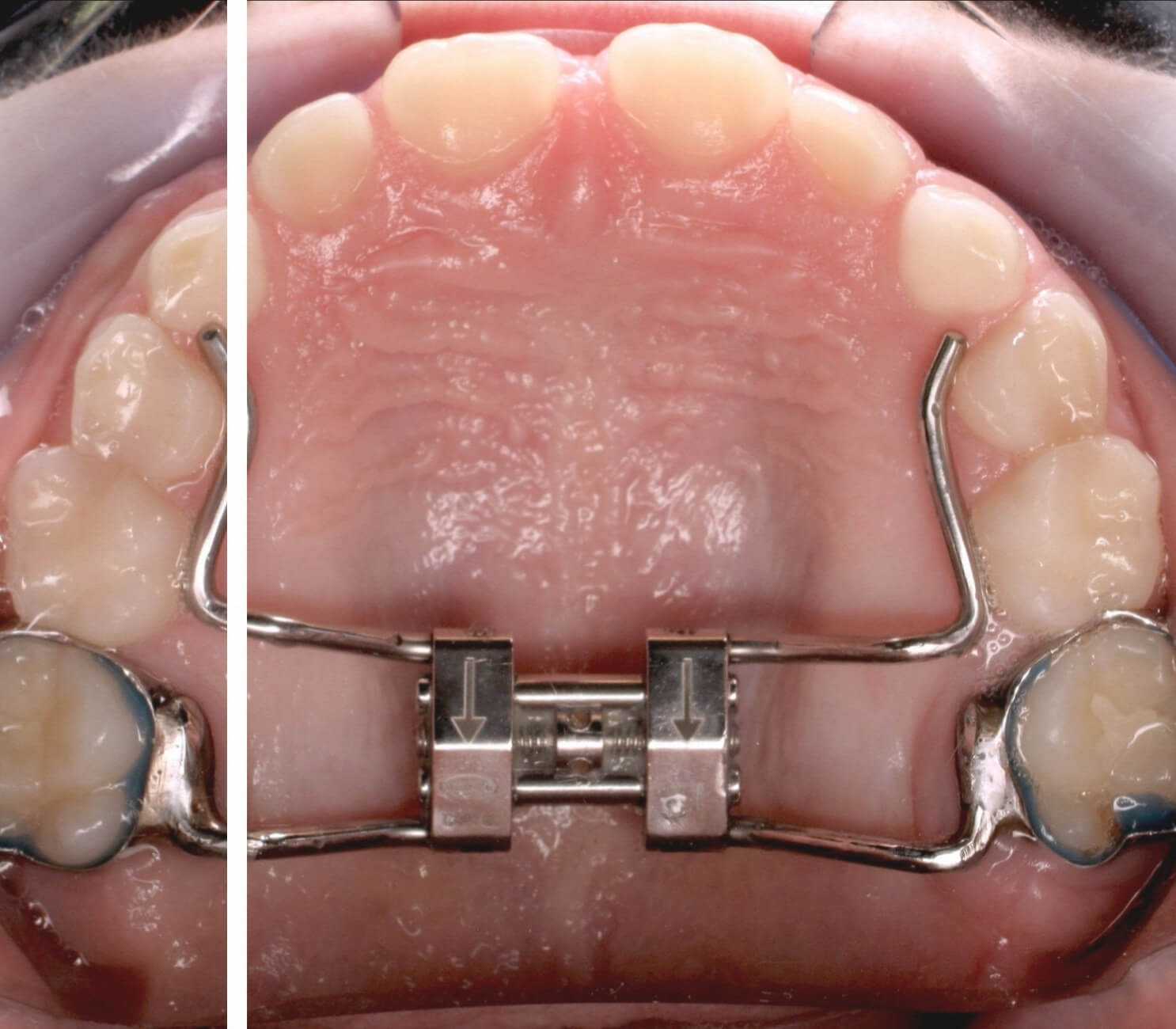
SARPE, "Surgically Assisted Rapid Palatal Expansion" ifadesinin kısaltmasıdır. Türkçe karşılığıyla cerrahi destekli hızlı üst çene genişletme olarak tanımlanır. Bu yöntemde üst damak suturü cerrahi olarak gevşetilir ve sonrasında özel bir genişletme apareyi ile aktif genişletme yapılır.
İşlem şu şekilde uygulanır: Hasta anlaşmalı bir hastanede genel anestezi altında Uzm. Dt. Tayfun Cıvak tarafından opere edilir. Cerrahi sırasında lateral maksiller duvarlar ve orta hat suturü kontrollü kesimlerle gevşetilir; ileri vakalarda pterigomaksiller bölge de ayrılabilir. Cerrahi 1-2 saat sürer ve hasta genellikle 1 gün hastanede yatış yapar.
Cerrahi sonrası 5-7 günlük bekleme dönemi (latency period) sonrasında hasta evde günlük olarak aktivasyon vidasını çevirmeye başlar. Aktif aktivasyon dönemi genellikle 2-4 hafta sürer; sonrasında aparey 4-6 ay pekiştirme amacıyla damakta kalır. Tüm süreç boyunca ortodontik koordinasyon Doredent'te Uzm. Dt. Merve Özkan Akagündüz tarafından yürütülür.
SARPE, üst damak suturü ileri seviyede olgunlaşmış ve daha az invaziv yöntemlerin (MARPE, klasik genişletme) yetersiz kalacağı yetişkin hastalar için uygulanır. Yaş aralığı genellikle 25 yaş üstüdür, ancak yaş tek başına yeterli bir kriter değildir.
En sık uygulandığı durumlar şunlardır: sutur olgunlaşma seviyesi D veya E evresinde olan yetişkinler, MARPE başarısız olan vakalar, 8 mm ve üzeri ileri üst çene darlığı, ileri çapraz kapanış, kapsamlı ortodontik tedavi öncesi yer kazanma ihtiyacı, ortognatik cerrahi planlamasının bir parçası, üst çene darlığına bağlı uyku apnesi vakaları ve belirgin dar gülüş estetiği şikayetleri.
Kararın temeli üç boyutlu konik ışınlı bilgisayarlı tomografi (CBCT) ile sutur olgunlaşma seviyesinin değerlendirilmesidir. Angelieri sınıflandırması olarak bilinen bu sistemde sutur 5 farklı evreye ayrılır (A, B, C, D, E). MARPE genellikle A, B ve C evrelerinde başarılı olur; D ve E evrelerinde SARPE daha güvenilir sonuç verir. Doredent'te ilk muayenede Merve Hoca tarafından uygunluk dürüstçe değerlendirilir.
SARPE ve MARPE her ikisi de üst çene genişletmeyi hedefleyen yöntemlerdir, ancak farklı klinik durumlar için tasarlanmışlardır.
MARPE (Mini-implant Assisted Rapid Palatal Expansion): Mini vidaların damağa lokal anestezi altında yerleştirilmesi ile çalışır. Cerrahi gerektirmez. Sutur olgunlaşması A, B veya C evresinde olan, genellikle 15-25 yaş aralığındaki hastalarda etkilidir. Cerrahi olmadığı için iyileşme süresi yoktur ve maliyet açısından SARPE'den daha uygundur.
SARPE (Surgically Assisted Rapid Palatal Expansion): Üst damak suturünün cerrahi olarak gevşetilmesi ile çalışır. Genel anestezi altında hastane ortamında yapılır. Sutur olgunlaşması D veya E evresinde olan, genellikle 25 yaş üstü yetişkinlerde etkilidir. Cerrahi prosedür olduğu için iyileşme süresi vardır ve maliyet daha yüksektir; ancak ileri olgunlaşma vakalarında MARPE'nin başarısız olduğu durumlarda kalıcı çözüm sunar.
Hangi yöntemin sizin için uygun olduğu CBCT ile yapılan değerlendirme sonucunda belirlenir. Doredent'te MARPE şansı olan vakalarda öncelikle bu yöntem değerlendirilir; gereksiz cerrahi yapılmaz.
SARPE tedavi süreci, sadece cerrahi günü değil, bekleme dönemi, aktif aktivasyon, pekiştirme ve ortodontik tamamlama dahil olmak üzere ortalama 18-30 ay sürer.
Sürecin aşamaları şunlardır: Cerrahi (1 gün) Tayfun Hoca tarafından anlaşmalı hastanede genel anestezi altında uygulanır; cerrahi 1-2 saat sürer, hasta 1 gün hastanede yatış yapar. Bekleme dönemi (5-7 gün) cerrahi sonrası iyileşme ve yeni kemik oluşumunun başlaması için bekleme süresidir; bu dönemde aktivasyon yapılmaz. Aktif aktivasyon dönemi (2-4 hafta) hastanın evde günlük olarak vidayı çevirmesiyle gerçekleşir. Pekiştirme dönemi (4-6 ay) aparey damakta kalmaya devam ederken yeni oluşan kemik dokusu olgunlaşır. Sonraki ortodontik tamamlama Invisalign veya diş teli ile 12-24 ay sürebilir.
SARPE tek başına bir tedavi değil, kapsamlı bir ortodontik planın bir aşamasıdır. Süreyi etkileyen faktörler şunlardır: üst çene darlığının şiddeti, eşlik eden ortodontik problemler, hasta uyumu (aktivasyon protokolüne ve hijyene), iyileşme hızı ve genel sağlık durumu.
SARPE genel anestezi altında yapıldığı için cerrahi sırasında hiçbir ağrı hissedilmez. Cerrahi sonrası ilk günlerde belirli bir düzeyde rahatsızlık ve hafif ağrı normaldir; bu durum reçete edilen ağrı kesicilerle etkili şekilde yönetilir.
Pek çok hastanın belirttiği gibi, beklenenden daha az ağrı yaşanır. Cerrahi sonrası en yoğun rahatsızlık genellikle şişlik, çene hareketlerinin kısıtlanması ve beslenme zorlukları nedeniyle yaşanır; ağrıdan çok bu durum hastaları zorlar. Şişlik ilk hafta içinde kademeli olarak azalır ve günlük yaşam normale dönmeye başlar.
Aktif aktivasyon döneminde hasta evde aktivasyon vidalarını çevirdiğinde dişlerde, damakta ve burun-yüz bölgesinde geçici baskı hissi yaşanabilir. Bu durum genellikle birkaç saat içinde geçer ve tedavi sürecinin doğal bir parçasıdır. Şiddetli ve geçmeyen ağrı durumunda mutlaka klinikle iletişime geçilmelidir.
Evet, SARPE'nin aktif genişletme döneminde üst orta hattaki birleşim noktası açıldığı için ön iki diş arasında belirgin bir boşluk oluşur. Bu duruma diastema denir.
Önemli olan şudur: Bu boşluk bir komplikasyon ya da problem değildir; aksine SARPE'nin başarılı şekilde işlediğinin, suturün açıldığının olumlu klinik göstergesidir. Pek çok hasta bunu görünce paniklemiş olabilir; ancak bu beklenen ve istenen bir bulgudur.
Diastema sonraki ortodontik tedavi sürecinde (Invisalign veya diş teli ile) kademeli olarak kapatılır. Pekiştirme döneminde de boşluk doğal olarak kısmen kapanmaya başlayabilir; ancak tam kapatma ortodontik tedavi ile sağlanır. Aparey çıkarıldığı zaman dişler arasında boşluk olmaz.
SARPE sonrası burun tabanında ve burun kanatlarında genişleme görülebilir. Bu, SARPE'nin yan etkisi değil, üst çenenin pozisyon değişikliğinin doğal bir sonucudur. Pek çok hastada hafif derecededir; bazı vakalarda ise belirgin olabilir.
Bu değişiklik beraberinde olumlu bir yan etki getirebilir: nazal kavite hacminin artmasıyla burun solunumunda iyileşme görülebilir. Üst çene darlığına bağlı burun solunumu güçlüğü yaşayan hastalarda bu yan etki aslında bir avantaja dönüşür.
Cerrahi öncesi bu konu Tayfun Hoca tarafından detaylı olarak hastayla konuşulur. Dijital cerrahi planlama ile beklenen yan etkiler önceden gösterilir; beklentilerin gerçekçi şekilde yönetilmesi tedavi memnuniyetinin temelidir. Cerrahi tekniğinde uygulanan özel dikiş yöntemleri (alar cinch sutur gibi) bazı vakalarda burun kanatlarındaki değişikliği minimize edebilir.
Evet, SARPE sonrası ortodontik tedavi neredeyse tüm vakalarda gereklidir. SARPE tek başına bir tedavi değil, üst çene genişletme aşamasıdır; sonrasında dişlerin nihai pozisyona getirilmesi ve kapanış ilişkisinin düzenlenmesi için ortodontik tedavi şarttır.
Ortodontik tedavinin gerekçeleri şunlardır: aktif genişletme sonucu oluşan diastemanın kapatılması, dişlerin yeni çene boyutuna uygun şekilde dizilmesi, eşlik eden çapraşıklık ve kapanış bozukluklarının düzeltilmesi, üst-alt diş ilişkisinin düzenlenmesi.
Doredent'te ortodontik tedavi seçeneği olarak Invisalign şeffaf plak veya klasik diş teli sunulur. Diamond Provider unvanına sahip ortodonti uzmanımız Merve Hoca tarafından hangi yöntemin sizin için uygun olduğu detaylı olarak açıklanır. SARPE'yi tek başına bir tedavi olarak düşünmek gerçekçi değildir; kapsamlı ortodontik planlamanın önemli bir aşaması olarak değerlendirilmelidir.
SARPE sonrası işe dönüş süresi vakanın klinik gereksinimine, hastanın iyileşme hızına ve mesleğine bağlı olarak değişir.
Genel olarak çoğu hasta cerrahiden 1-2 hafta sonra işine geri dönebilir. Yoğun fiziksel iş yapmayan, ofis ortamında çalışan hastalar bu süreyi daha kısa tutabilir. İletişim yoğun mesleklerde (öğretmenlik, satış, yöneticilik gibi) konuşma adaptasyonu nedeniyle birkaç gün ek süre gerekebilir; çünkü ilk günlerde aparey damakta yer kapladığı için bazı seslerin telaffuzu zorlaşabilir.
Yorucu fiziksel iş yapanlar (inşaat, taşımacılık, ağır iş gerektiren meslekler) için 2-3 hafta beklenmesi önerilir. Yoğun spor ve fiziksel aktivite için ise en az 4 hafta beklenmesi gerekir. İşe dönüş zamanı her hasta için Tayfun Hoca tarafından belirlenir; iyileşmenin gidişine göre süre uzatılabilir veya kısaltılabilir. Aktif aktivasyon dönemi başladıktan sonra hasta normal yaşamına devam edebilir; sadece aparey ve hijyen kurallarına dikkat etmesi yeterlidir.
Diş Hekimlerimiz
Alanında uzman hekimlerimizle tanışın.
Kaynaklar
Bu sayfadaki bilgiler, uluslararası diş hekimliği cemiyetlerinin güncel kılavuzlarına, hakemli bilimsel yayınlara ve akademik standart kabul edilen referans kitaplara dayandırılarak hazırlanmıştır.
Kaynakları Görüntüle(4)
- American Association of Oral and Maxillofacial Surgeons (AAOMS). Indications for Orthognathic Surgery (Parameters of Care). AAOMS, 2025.
- Bortolotti F, Solidoro L, Bartolucci ML, Incerti Parenti S, Paganelli C, Alessandri-Bonetti G. Skeletal and dental effects of surgically assisted rapid palatal expansion: a systematic review of randomized controlled trials. European Journal of Orthodontics, 2020.
- Kapetanović A, Theodorou CI, Bergé SJ, Schols JGJH, Xi T. Efficacy of Miniscrew-Assisted Rapid Palatal Expansion (MARPE) in late adolescents and adults: a systematic review and meta-analysis. European Journal of Orthodontics, 2021.
- Hupp JR, Tucker MR, Ellis E. Contemporary Oral and Maxillofacial Surgery, 7th Edition. Mosby/Elsevier, 2018.
İçerik Bilgileri
Bu sayfa Dore Tıbbi Yayın Kurulu tarafından hazırlanmış ve Uzm. Dt. Merve Özkan Akagündüz tarafından tıbbi olarak incelenmiştir.



