MARPE
Mini vidalarla desteklenen aparey sistemi ile ameliyatsız üst çene genişletme. Geç ergenlik ve genç yetişkinlerde cerrahi olmadan iskeletsel genişleme imkânı. Tıbbi olarak incelenmiştir. Son güncelleme: 15 Nisan 2026.
MARPE ile Üst Çene Darlığını Daha Kontrollü ve Daha Güçlü Bir Yaklaşımla Değerlendirin
Üst çene darlığı; çapraşıklık, kapanış bozukluğu, dar gülüş görünümü ve bazı hastalarda fonksiyonel dengesizliklerle ilişkili olabilir. Özellikle büyüme gelişim dönemi sonrasında üst çene genişletmesi planlanırken tedavi yaklaşımı daha dikkatli belirlenmelidir. MARPE, mini vidalarla desteklenen özel aparey sistemi sayesinde uygun hastalarda üst çene genişletmesini daha etkili şekilde değerlendirmeye yardımcı olan bir ortodontik seçenektir. Amaç, yalnızca dişleri değil, çene yapısını da dikkate alan daha kapsamlı bir planlama yapmaktır.
MARPE Nedir?
MARPE, “Mini-implant Assisted Rapid Palatal Expansion” ifadesinin kısaltmasıdır. Türkçe karşılığıyla mini vida destekli hızlı üst çene genişletme sistemi olarak tanımlanabilir. Bu yöntemde, üst çeneye özel olarak planlanan aparey mini vidalarla desteklenir ve böylece genişletme kuvvetinin daha kontrollü şekilde iletilmesi amaçlanır. Özellikle büyüme gelişim dönemi sonrasındaki uygun hastalarda üst çene darlığının değerlendirilmesinde önemli bir seçenek olabilir.Böylece hem estetik görünüm hem de günlük yaşam konforu yeniden kazanılabilir.
Üst çene darlığı bulunan, büyüme gelişim dönemi sonrasında olan ve detaylı ortodontik analiz sonucu uygun bulunan hastalarda değerlendirilebilir.
Uygun vakalarda, üst çene genişletmesinin cerrahiye gitmeden planlanabildiği bir seçenek olabilir. Ancak her hastada aynı şekilde uygulanamaz; kesin karar analiz sonrası verilir.
MARPE, mini vida desteği sayesinde genişletme kuvvetini daha farklı bir biyomekanikle iletmeyi hedefler. Bu nedenle özellikle daha ileri yaş grubunda farklı avantajlar sunabilir.


Detaylı Ortodontik Analiz ile Doğru Genişletme Planını Oluşturun
MARPE tedavisinde en önemli nokta, üst çene darlığının derecesini ve hastanın bu yöntem için uygunluğunu doğru değerlendirmektir. Çünkü her üst çene darlığı aynı şekilde tedavi edilmez. Hastanın yaşı, iskeletsel yapısı, dişlerin konumu, kapanış ilişkisi ve yüz yapısı birlikte analiz edilmelidir. Bu nedenle tedavi öncesi yapılan detaylı planlama, başarının temelini oluşturur.
- Üst çene darlığının düzeyi detaylı olarak değerlendirilir.
- Dişsel ve iskeletsel ilişki birlikte analiz edilir.
- Yaş, kemik yapısı ve ortodontik ihtiyaç göz önünde bulundurulur.
- MARPE için uygunluk kişiye özel olarak planlanır.
Alternatif Tedaviler
Geleneksel Hızlı Üst Çene Genişletme (RPE / Hyrax)
Çocuklarda ve büyüme dönemindeki ergenlerde üst damak suturü henüz açık olduğu için cerrahi destek olmadan doğrudan uygulanan klasik genişletme yöntemidir. RPE (Rapid Palatal Expansion) veya Hyrax apareyi olarak da bilinir. Aparey azı dişlerine sabitlenir ve genişletme kuvveti dişler üzerinden iletilir.Avantajları:- Mini vida gerektirmez, lokal anestezi uygulaması yoktur.
- Çocuk ve büyüme dönemindeki ergenlerde son derece etkili sonuç verir.
- Maliyet açısından MARPE’ye göre uygundur.
- Klinik olarak çok iyi anlaşılmış, uzun yıllardır uygulanan bir yöntemdir.
- Yalnızca büyüme dönemindeki hastalarda etkilidir (genellikle 7-14 yaş).
- Sutur olgunlaşması ileri seviyedeki yetişkinlerde dişlerin devrilmesine yol açabilir, gerçek iskeletsel genişleme sağlanamayabilir.
- Geç ergenlik ve genç yetişkinlerde MARPE veya SARPE daha güvenilir sonuç verir.
Cerrahi Destekli Üst Çene Genişletme (SARPE)
Sutur olgunlaşması tamamen ileri seviyedeki yetişkin hastalarda MARPE yetersiz kaldığında veya başarısız olduğunda cerrahi destekli genişletme (SARPE) gündeme gelir. Bu işlemde üst damak orta hattındaki birleşim noktası (orta palatinal sutur) cerrahi olarak gevşetilir, ardından genişletme apareyi ile aktif genişletme yapılır.Avantajları:- Sutur olgunlaşması tamamlanmış yetişkinlerde garantili iskeletsel genişleme sağlar.
- İleri darlık vakalarında en güvenilir yöntemdir.
- MARPE başarısızlığında etkili bir alternatif sunar.
- Cerrahi bir işlemdir; lokal veya genel anestezi gerektirir.
- İyileşme süreci MARPE’ye göre daha uzundur.
- Maliyet açısından MARPE ve RPE’den belirgin şekilde yüksektir.
- Cerrahi riskleri (kanama, enfeksiyon, şişlik) içerir.
Dental Genişletme (Sadece Ortodontik Tedavi)
Hafif düzey üst çene darlığı vakalarında, çenenin kendisini genişletmek yerine dişlerin pozisyonu değiştirilerek dar görünüm hafifletilebilir. Bu yaklaşıma dental genişletme veya dental kompanzasyon adı verilir.Avantajları:- Mini vida veya cerrahi gerektirmez.
- İnvaziv olmayan en hafif yaklaşımdır.
- Sadece ortodontik tedavi süreci işler, ek bir aşama yoktur.
- Hafif vakalarda uygun fonksiyonel sonuç verir.
- Çene kemiğinin gerçek genişliği değişmez.
- Sadece hafif darlık vakalarında etkilidir.
- Orta ve ileri darlık vakalarında yetersiz kalır.
- Burun solunumu güçlüğü gibi fonksiyonel sorunlara çözüm getirmez.
Tedaviyi Ertelemek ve Düzenli Takip
Bazı hafif darlık vakalarında, hasta klinik açıdan önemli bir fonksiyonel veya estetik şikayeti yaşamıyorsa tedavi yerine düzenli takip önerilebilir. Bu yaklaşım hastanın gereksiz tedavi yüküyle karşılaşmamasını sağlar.Avantajları:- Hastaya gereksiz tedavi yükü bindirilmez.
- Maliyet açısından en uygun yaklaşımdır.
- Hafif vakalarda yıllar içinde durumun seyri izlenebilir.
- Üst çene darlığına bağlı sorunlar takip süresince devam edebilir.
- Sutur olgunlaşması ilerledikçe ileride MARPE şansı azalabilir, SARPE gerekebilir.
- Düzenli kontrol gerektirir.
Hangi Tedavi Size Uygun?
Üst çene darlığı tedavisinde doğru yöntem seçimi şu faktörlere bağlıdır:- Yaş: Çocuk ve ergende RPE, geç ergenlik ve genç yetişkinde MARPE, ileri yetişkinde SARPE öne çıkar.
- Sutur olgunlaşma seviyesi: Üç boyutlu konik ışınlı bilgisayarlı tomografi (CBCT) ile suturün kapanma derecesi değerlendirilir; bu MARPE veya SARPE kararının temelidir.
- Darlığın şiddeti: Hafif vakalarda dental kompanzasyon yeterli olabilirken orta ve ileri vakalarda iskeletsel genişletme gerekir.
- Eşlik eden ortodontik problemler: Çapraz kapanış, çapraşıklık veya alt çene anomalisi gibi durumlar tedavi planını şekillendirir.
- Hasta tercihi: Cerrahi yaklaşımdan kaçınmak isteyen ve uygunluğu olan hastalarda MARPE öncelikli seçenektir.
- Genel sağlık durumu: Cerrahi gereken vakalarda hastanın genel sağlığı dikkate alınır.
Riskler ve Komplikasyonlar
Riski Artıran Faktörler
Bazı durumlar MARPE tedavisinde komplikasyon riskini artırabilir. Bu faktörler tedavinin yapılamayacağı anlamına gelmez; ancak ek değerlendirme, özel planlama veya bazı koşulların önce sağlanması gerektiği anlamına gelir.- İleri sutur olgunlaşması: Yaş ilerledikçe damak suturü kademeli olarak kapanır. Tam kapanmış vakalarda MARPE başarısız olabilir; bu durumda SARPE planlanır. CBCT ile sutur değerlendirmesi cerrahi öncesi yapılır.
- Yetersiz ağız hijyeni: Mini vidaların etrafında ve aparey bölgesinde plak birikimi enfeksiyon riskini ciddi şekilde artırır. Düzenli ve titiz hijyen MARPE’nin başarı temelidir.
- Aktif diş eti hastalığı: Periodontal sorunlar mini vida tutunmasını ve aparey başarısını olumsuz etkileyebilir. Diş taşı temizliği ve gerekirse kuretaj tedavi öncesi mutlaka tamamlanır.
- Sigara ve tütün kullanımı: Mini vida iyileşmesini ve kemik dokusunun adaptasyonunu olumsuz etkiler. Tedavi süresince sigara kullanımının azaltılması veya bırakılması güçlü şekilde önerilir.
- Aktivasyon protokolüne uyumsuzluk: Hasta evde aktivasyon vidalarını hekiminin önerdiği şekilde çevirmezse genişletme istenen düzeyde olmaz. Tedavi süresi uzar ve sonuç beklentilerin altında kalır.
- Kontrolsüz sistemik hastalıklar: Diyabet ve bağışıklık baskılayıcı tedaviler iyileşmeyi olumsuz etkileyebilir; ek değerlendirme gerektirir.
- Bisfosfonat kullanımı: Osteoporoz için bu ilaçları kullanan hastalarda mini vida ve kemik iyileşmesi etkilenebilir. Kullanım öyküsü mutlaka sorgulanır.
- Kontrol randevularının aksatılması: Tedavi süresince düzenli klinik takip aktif genişletme dönemini güvenli ve etkili hâle getirir. Aksamalar komplikasyon riskini artırır.
- Travma: Aparey takılı iken yüze veya damağa gelen darbe vidaların gevşemesine veya apareyin bozulmasına yol açabilir. Spor yapan hastalarda dikkat önemlidir.
Doredent’te Bu Riskler Nasıl Yönetilir?
MARPE tedavisinde olası risklerin büyük çoğunluğu doğru hasta seçimi, kapsamlı planlama ve düzenli takiple minimize edilebilir. Doredent’te uygulanan yaklaşımın temel başlıkları şunlardır:- Detaylı klinik ve radyolojik değerlendirme: Cerrahi öncesi panoramik röntgen, sefalometrik analiz ve özellikle üç boyutlu konik ışınlı bilgisayarlı tomografi (CBCT) ile suturün olgunlaşma seviyesi (Angelieri sınıflandırması) detaylı olarak incelenir. Bu değerlendirme MARPE veya SARPE kararının temelini oluşturur.
- Doğru hasta seçimi: Tedavi yalnızca MARPE için klinik olarak uygun hastalarda planlanır. Sutur olgunlaşması ileri olan vakalarda direkt SARPE önerilir; gereksiz başarısız MARPE deneme yapılmaz.
- Mini vidaların doğru yerleştirilmesi: Vidalar Uzm. Dt. Merve Özkan Akagündüz tarafından lokal anestezi altında, anatomik yapıları (sinir ve damar) koruyacak şekilde yerleştirilir.
- Hasta eğitimi: Tedavi öncesi hastaya aktivasyon protokolü, hijyen kuralları, beklenen yan etkiler ve acil durumda iletişim kanalları detaylı olarak anlatılır.
- Ön hazırlık tedavileri: Aktif diş eti hastalığı, çürük veya hijyen sorunları varsa MARPE öncesinde bu sorunlar çözülür.
- Düzenli klinik takip: Aktif genişletme dönemi sıkça yapılan kontrol randevularıyla yakından izlenir. Aktivasyon hızı ve seyri vakaya göre ayarlanır.
- Pekiştirme protokolü: Aktif genişletme tamamlandıktan sonra aparey en az 4-6 ay pekiştirme amacıyla damakta kalır. Sonrasında uygun retansiyon planı uygulanır.
- SARPE alternatifi: MARPE başarısız olursa veya başlangıçta uygun bulunmazsa, anlaşmalı çene cerrahımız Uzm. Dt. Tayfun Cıvak ile koordineli SARPE alternatifi sunulur.
- Acil durum protokolü: Aparey bozulması, vida gevşemesi veya enfeksiyon belirtileri durumunda hasta için açık iletişim kanalları sağlanır.
Kimler için Uygundur?
Önemli Bir Ön Şart: Sutur Olgunlaşma Seviyesi
- CBCT ile sutur değerlendirmesi yapılır.
- Cerrahi olmadan iskeletsel genişleme sağlanabilir.
- Aktivasyon protokolüne uyum sağlamak için olgunluk kapasitesi vardır.
- Pekiştirme süreci dahil tedavi 6-12 ay sürer.
- Çene gelişimi ve diş hizası birlikte düzelir.
- Çiğneme dengesi yeniden kurulur.
- Detaylı bilgi için çapraz kapanış sayfası incelenebilir.
- MARPE sonrası ortodontik tamamlama gerekir.
- Çene genişletilerek dişlere yer açılır.
- Sağlıklı dişlerin çekimi önlenebilir.
- Detaylı bilgi için çapraşıklık sayfası incelenebilir.
- Sonrasında Invisalign veya diş teli ile tamamlanır.
- Nazal kavite hacmi artar.
- Burun solunumu kalitesi iyileşebilir.
- KBB konsültasyonu önerilebilir.
- Hafif uyku apnesi vakalarında destekleyici etki sağlayabilir.
- Gülerken yanlardaki karanlık alan azalır.
- Daha geniş ve dolu bir gülüş elde edilir.
- Yüz oranlarının dengesi iyileşir.
- Estetik beklentinin yüksek olduğu vakalarda öne çıkar.
- Genel anestezi gerekmez.
- Cerrahi sonrası iyileşme süreci yoktur.
- Ayaktan tedavi sürecidir.
- Ancak başarı sutur olgunlaşma seviyesine bağlıdır.
- Sağlıklı dişlerin çekiminden kaçınılır.
- Ortodontik tedavi süresi optimize edilir.
- Çene boyutu ortodontik hedeflere uyumlu hâle getirilir.
- Kapsamlı tedavi planının ilk aşaması olarak uygulanır.
- İleri uyku apnesi vakalarında ortognatik cerrahi gerekir.
- Uyku tıbbı ve KBB uzmanı ile koordineli planlama yapılır.
- Polisomnografi ile değerlendirme önerilir.
- Tek başına yeterli olmayabilir; ek tedaviler gerekebilir.
Hangi Hastalar İçin Ek Değerlendirme Gerekir?
Bazı durumlarda MARPE öncesinde ek değerlendirme, hazırlık veya farklı bir planlama gerekir. Bu, tedavinin yapılamayacağı anlamına gelmez; çoğu zaman ek bir aşamanın tedaviye eklenmesi ya da belirli koşulların önce sağlanması gerektiği anlamına gelir.- Sutur tamamen kapanmış yetişkinler: CBCT ile sutur olgunlaşma seviyesi D veya E evresinde olan vakalarda MARPE başarısız olabilir. Bu hastalar için SARPE daha güvenilir alternatiftir.
- Çocuklar ve büyüme dönemindeki ergenler: 7-14 yaş arasındaki çocuklarda sutur henüz açık olduğu için klasik hızlı genişletme apareyi (RPE) genellikle yeterlidir. MARPE bu yaş grubunda gereksiz invaziv kalır.
- Aktif diş eti hastalığı olanlar: Mini vidaların başarılı tutunması için sağlıklı periodontal doku gerekir. Tedavi öncesinde diş taşı temizliği, gerekirse kuretaj tamamlanır.
- Aktif çürükleri olan hastalar: MARPE öncesinde tüm aktif çürükler tedavi edilmelidir. Dolgu veya gerekirse kanal tedavisi tamamlanır.
- Yetersiz ağız hijyeni: Mini vidaların etrafında plak birikimi enfeksiyon riskini artırır. Hijyen alışkanlıklarının tedavi öncesi geliştirilmesi önemlidir.
- Ağır sigara kullanıcıları: Sigara mini vida iyileşmesini ve kemik adaptasyonunu olumsuz etkiler. Tedavi süresince azaltılması veya bırakılması güçlü şekilde önerilir.
- Bisfosfonat ve biyolojik ajan kullanımı: Bu ilaçlar mini vida ve kemik iyileşmesini etkileyebilir. Kullanım öyküsü mutlaka sorgulanır.
- Kontrol edilmeyen sistemik hastalıklar: Diyabet, bağışıklık sistemini baskılayan tedaviler ve kontrol edilmeyen kronik hastalıklar ek değerlendirme gerektirir.
- Damak anatomisi yetersiz vakalar: Mini vida yerleştirmek için damakta yeterli kemik kalınlığı olmalıdır. CBCT ile bu durum cerrahi öncesi değerlendirilir.
- Aktivasyon protokolüne uyum sağlayamayacak hastalar: MARPE’de hasta evde aktif aktivasyon yapar. Disiplinli aktivasyon protokolüne uyum sağlayamayacak hastalarda alternatif yaklaşım değerlendirilebilir.
- Hamilelik dönemi: Rutin ortodontik tedavi devam edebilir; ancak yeni bir MARPE planlaması genellikle doğum sonrasına ertelenir.
- Damak anatomisinde özel durumlar: Yarık damak, geçirilmiş damak cerrahisi veya konjenital anomalisi olan hastalarda MARPE özel planlama gerektirir; multidisipliner ekip yaklaşımı şarttır.
İlk Muayenede Hangi Adımlar Yapılır?
MARPE’nin sizin için uygun olup olmadığı, ilk muayenede yapılan kapsamlı değerlendirme sonrasında belirlenir. Bu değerlendirmenin temel adımları şunlardır:- Klinik muayene: Ortodonti uzmanımız Uzm. Dt. Merve Özkan Akagündüz tarafından üst çene darlığının derecesi, kapanış ilişkisi, dişlerin pozisyonu ve genel ortodontik durum incelenir.
- Üç boyutlu konik ışınlı bilgisayarlı tomografi (CBCT): Sutur olgunlaşma seviyesi (Angelieri sınıflandırması) değerlendirilir; bu MARPE veya SARPE kararının temelidir. Damak anatomisi, mini vida yerleştirme için uygun bölgeler ve anatomik yapılar (sinir, damar) detaylı olarak incelenir.
- Sefalometrik analiz: Çene-yüz ilişkisi ve dişlerin pozisyonu ortodontik hedefler açısından değerlendirilir.
- Ortodontik plan oluşturma: MARPE’nin tek başına mı, yoksa kapsamlı ortodontik tedavinin (Invisalign veya diş teli) bir parçası olarak mı uygulanacağı belirlenir.
- Hasta bilgilendirmesi: Tedavi süresi, aktivasyon protokolü, beklenen sonuç, riskler ve maliyet açıkça anlatılır. Karar hasta ile birlikte verilir.
Tedavi Sonrası
Aktif Genişletme Sonrası İlk Hafta
Hasta evde aktif aktivasyon protokolünü tamamladıktan sonra ilk hafta önemli bir geçiş dönemidir. Bu dönemde damakta belirgin değişiklikler oluşur ve ön dişlerde diastema (boşluk) görünür hâle gelir.- Diastemanın gözlemlenmesi: Aktif genişletme sürecinde üst orta hattaki birleşim noktası açıldığı için ön iki diş arasında belirgin bir boşluk oluşur. Bu, MARPE’nin başarılı şekilde işlediğinin olumlu bir göstergesidir; endişelenecek bir durum değildir. Boşluk sonraki ortodontik tedavi sürecinde kapatılır.
- Hassasiyet ve baskı hissi: Aktif genişletmenin son döneminde dişlerde, damakta ve burun-yüz bölgesinde hafif baskı hissi normaldir. Bu durum genellikle birkaç gün içinde tamamen geçer.
- Beslenme: İlk hafta yumuşak ve dikkatli beslenme önerilir. Sert, yapışkan ve apareye zarar verebilecek gıdalardan kaçınılır.
- Ağız hijyeni: Mini vidalar ve aparey çevresinde plak birikimini önlemek için titiz ağız hijyeni uygulanır. Yumuşak diş fırçası, su jeti ve antiseptik ağız çalkalama solüsyonu kullanılır.
- Klinik kontrol: Aktif genişletme tamamlandıktan sonra Uzm. Dt. Merve Özkan Akagündüz tarafından kontrol randevusu yapılır. Genişlemenin başarılı olup olmadığı klinik ve radyolojik olarak değerlendirilir.
Pekiştirme Dönemi (4-6 Ay)
Aktif genişletme tamamlandıktan sonra MARPE apareyi hemen çıkarılmaz. Aparey en az 4-6 ay süreyle damakta pekiştirme amacıyla kalır. Bu dönem MARPE’nin uzun vadeli başarısı için kritik bir aşamadır.- Yeni kemiğin olgunlaşması: Aktif genişletme döneminde sutur açıldığı için iki kemik parçası arasında yeni kemik oluşumu (kallus) başlar. Bu yeni kemiğin tam olarak olgunlaşması ve sertleşmesi 4-6 ay sürer. Bu süreçte aparey damakta sabit kalarak yeni kemik dokusunu korur.
- Aktif aktivasyon yapılmaz: Pekiştirme döneminde hasta artık vidayı çevirmez. Aparey sadece pekiştirme görevi görür.
- Periyodik kontroller: Bu dönemde Merve Hoca tarafından düzenli kontrol randevuları yapılır. Aparey kontrolü, mini vidaların durumu ve ağız hijyeni değerlendirilir.
- Ağız hijyeninin sürmesi: Pekiştirme döneminde de hijyene titizlikle dikkat edilmeye devam edilmelidir.
- Diastema yönetimi: Pekiştirme döneminde ön dişler arasındaki boşluk doğal olarak kısmen kapanmaya başlayabilir. Tam kapatma sonraki ortodontik tedavi ile sağlanır.
MARPE Apareyinin Çıkarılması
Pekiştirme dönemi tamamlandıktan ve klinik olarak yeni kemik dokusunun yeterince olgunlaştığından emin olunduktan sonra MARPE apareyi çıkarılır. Bu işlem genellikle ağrısızdır ve klinik koşullarda kısa sürede tamamlanır.- Mini vidaların çıkarılması: Mini vidalar lokal anestezi gerektirmeden, klinik koşullarda kısa sürede çıkarılır. Hasta bu işlem sırasında hafif baskı hissedebilir ancak ağrı yaşanmaz.
- Apareyin sökülmesi: Aparey damaktan çıkarılır; dişler üzerinde herhangi bir kalıcı işaret bırakmaz.
- Vida bölgelerinin iyileşmesi: Mini vidaların çıkarıldığı yerler birkaç gün içinde tamamen iyileşir; burada genellikle ufak bir iz kalmaz.
- Damak adaptasyonu: Aparey çıkarıldıktan sonra dilin damağa yeniden alışması birkaç gün sürebilir. Bu süreç kısa ve kolaydır.
- Genel değerlendirme: Aparey çıkarıldıktan sonra elde edilen genişleme, kapanış ilişkisi ve dişlerin pozisyonu tekrar değerlendirilir.
Sonraki Aşama: Ortodontik Tamamlama
MARPE tek başına bir tedavi değildir; üst çene genişletme aşamasıdır. Aparey çıkarıldıktan sonra dişlerin nihai pozisyona getirilmesi ve kapanış ilişkisinin düzenlenmesi için ortodontik tedavi başlar. Bu aşama Doredent’te Merve Hoca tarafından yürütülür.- Tedavi seçeneği: Hastanın tercihine ve klinik duruma göre Invisalign şeffaf plak tedavisi veya klasik diş teli tedavisi uygulanabilir. Doredent’te Diamond Provider deneyimi ile Invisalign tedavisi öne çıkan bir seçenek olarak sunulur.
- Diastema kapatılması: Aktif genişletme sonrasında oluşan ön diş arası boşluk ortodontik tedavi ile kademeli olarak kapatılır. Bu süreç genellikle birkaç ay sürer.
- Çapraz kapanış düzeltmesi: Eğer hastada üst çene darlığına eşlik eden çapraz kapanış varsa bu da ortodontik tedavi ile düzeltilir.
- Dişlerin nihai dizilimi: Genişletilmiş üst çenede dişlerin ideal pozisyona getirilmesi sağlanır.
- Kapsamlı tedavi süresi: MARPE sonrası ortodontik tamamlama 12-24 ay sürebilir. Bu süre vakanın klinik gereksinimine bağlıdır.
Pekiştirme Tedavisi (Retansiyon)
Tüm ortodontik tamamlama bittikten sonra ortodontik pekiştirme tedavisi başlar. Bu, tedavi sonuçlarının uzun vadede korunmasını sağlayan ayrılmaz bir aşamadır.- Sabit lingual retainer: Ön dişlerin arka yüzeyine yapıştırılan ince bir tel ile dişlerin pozisyonu sürekli korunur. Yetişkin ortodontik tedavinin standart pekiştirme yöntemidir.
- Gece plağı: Sabit retainer’a ek olarak gece plağı kullanımı önerilir. İlk yıl her gece, sonraki yıllarda haftada birkaç gece kullanım yeterli olabilir.
- Vivera (opsiyonel): Yüksek kaliteli şeffaf retainer plak sistemi olarak Vivera tercih edilebilir. Üç setli paketi sayesinde uzun süre dayanır.
- Genişlik retansiyonu: Üst çene darlığı tedavisi sonrasında nüksü önlemek için bazı vakalarda ek bir damak retansiyon apareyi de önerilebilir. Bu, MARPE ile elde edilen iskeletsel genişlemenin korunması için önemlidir.
- Yıllık kontroller: Pekiştirme döneminde yılda en az bir kez ortodontik kontrol yapılır. Retainer’ın durumu ve dişlerin pozisyonu değerlendirilir.
Uzun Vadeli Bakım ve Takip
MARPE ile elde edilen sonuçların uzun vadede korunması için bazı alışkanlıklar önemlidir. Bu alışkanlıklar tedavi sonuçlarının ömür boyu sağlığını destekler.- Pekiştirme protokolüne uyum: Hekimin önerdiği gece plağı ve retainer kullanım protokolüne sıkı sıkıya uyulmalıdır. Pekiştirmenin atlanması nüksün ana nedenidir.
- Düzenli ağız hijyeni: Günde iki kez fırçalama, diş ipi kullanımı ve düzenli ağız bakımı uzun vadeli ağız sağlığının temelidir.
- 6 ayda bir rutin diş hekimi kontrolü: Standart 6 ayda bir kontrol hem ortodontik durumu hem de genel ağız sağlığını takip etmek için yeterlidir.
- Yıllık ortodontik kontrol: Pekiştirme döneminde yılda en az bir kez ortodontik kontrol yapılması retainer’ın durumu ve genişlik stabilitesi açısından önemlidir.
- Profesyonel diş taşı temizliği: Düzenli kontrollerde gerekli görüldüğünde profesyonel temizlik uygulanır.
- Bruksizm yönetimi: Gece diş sıkma alışkanlığı varsa hekimin önerdiği gece plağı düzenli kullanılmalıdır. Bruksizm tedavi sonrası nüksün önemli bir nedeni olabilir.
- Sigara ve alkolden kaçınma: Genel ağız ve diş sağlığını desteklemek için sigara ve alkolün azaltılması önerilir.
MARPE Sonrası Beklenen İyileşmeler
Başarılı bir MARPE tedavisi sonrasında hastalar genellikle şu iyileşmeleri yaşar:- Üst çene genişliğinin artması: Üst çenenin gerçek iskeletsel genişlemesi sağlanır; dental kompanzasyonun aksine kalıcı yapısal değişiklik elde edilir.
- Çapraz kapanışın düzelmesi: Üst çene darlığına bağlı çapraz kapanış vakalarında kapanış ilişkisi normalleşir.
- Çapraşıklığın azalması: Üst çenede yer açıldığı için çapraşık dişlere ortodontik tedavi ile yer kazanılır; sağlıklı dişlerin çekiminden kaçınılır.
- Daha geniş ve dolu gülüş: Gülerken yanlardaki karanlık alan azalır, gülümseme estetiği iyileşir.
- Burun solunumunun iyileşmesi: Nazal kavite hacmi arttığı için burun solunumu kalitesi iyileşebilir; bu hastalarda yaşam kalitesi belirgin şekilde artar.
- Hafif uyku apnesinde iyileşme: Hava yolu desteklenir; hafif uyku apnesi vakalarında iyileşme görülebilir.
- Cerrahiden kaçınılmış olması: Uygun vakalarda SARPE gibi cerrahi bir prosedürün gereksiz olduğu anlamına gelir; hasta cerrahi süreci yaşamadan benzer sonuca ulaşır.
Nadir Görülen Sorunlar ve Yönetimi
MARPE sonrası nadir görülen sorunlarla karşılaşılabilir. Bu sorunların erken fark edilmesi ve hızlı müdahalesi tedavi başarısı için önemlidir.- Kısmi nüks: Pekiştirme protokolüne uyum sağlanamadığında kısmi nüks görülebilir. Erken fark edilirse ek retansiyon ile yönetilebilir.
- Mini vida çıkarma sonrası lokal hassasiyet: Vidaların çıkarıldığı bölgede birkaç gün hafif hassasiyet normaldir. Şiddetli ağrı veya iltihap belirtileri olursa klinikle iletişime geçilmelidir.
- MARPE başarısızlığı sonrası SARPE alternatifi: Çok nadiren MARPE ile yeterli iskeletsel genişleme sağlanamayabilir. Bu durumda anlaşmalı çene cerrahımız Uzm. Dt. Tayfun Cıvak ile koordineli olarak SARPE planlanır.
- Diş eti çekilmesi: Mini vida bölgelerinde nadiren diş eti çekilmesi görülebilir. Bu durum genellikle sınırlı kalır ve klinik takiple yönetilir.
Hastaya Önemli Bir Mesaj
Ameliyatsız Üst Çene Genişletme (MARPE) Fiyatlandırması Hakkında
Doredent olarak fiyat şeffaflığına önem veriyoruz. Web sitemizde tedavi fiyatlarını doğrudan yayınlayamamamızın iki temel nedeni vardır: yürürlükteki yasal düzenlemeler sağlık hizmetlerinde fiyat reklamına izin vermez ve her vakanın kapsamı birbirinden farklıdır.
Ameliyatsız Üst Çene Genişletme (MARPE)'nin maliyeti; vakanın kapsamı, kullanılan apareyin tipi ve toplam tedavi süresi gibi etkenlere göre değişir. Bu nedenle size doğru bir bilgi verebilmek için kişisel değerlendirme önemlidir.
Tedavi fiyatı hakkında net bilgi almak için WhatsApp üzerinden iletişime geçebilir veya ilk muayene randevusu oluşturabilirsiniz.
Sıkça Sorulan Sorular
Bu tedaviyle alakalı bize gelen soruları derledik ve olabildiğince açık ve şeffaf şekilde yanıtladık.
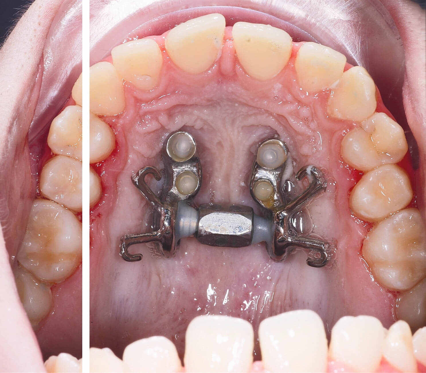
MARPE, "Mini-implant Assisted Rapid Palatal Expansion" ifadesinin kısaltmasıdır. Türkçe karşılığıyla mini vida destekli hızlı üst çene genişletme sistemi olarak tanımlanır. Bu yöntemde üst damağa lokal anestezi altında 4 adet mini vida yerleştirilir; bu vidaların üzerine özel olarak tasarlanmış bir genişletme apareyi sabitlenir.
Klasik üst çene genişletme apareylerinden farkı, kuvvetin doğrudan kemiğe iletilmesidir. Klasik apareylerde kuvvet azı dişleri üzerinden iletildiği için ileri yaşta dişler devrilir ancak çene gerçekten genişlemez. MARPE'de mini vidalar sayesinde kuvvet doğrudan kemiğe uygulanır; bu sayede üst damak orta hattındaki birleşim noktası (orta palatinal sutur) açılır ve gerçek iskeletsel genişleme sağlanır.
Hasta evde özel bir anahtarla aktivasyon vidasını günlük olarak çevirerek genişletmeyi gerçekleştirir. Aktif aktivasyon dönemi genellikle 2-4 hafta sürer; sonrasında aparey 4-6 ay pekiştirme amacıyla damakta kalır.
MARPE, üst çene darlığı olan ve üst damak suturü henüz tamamen kapanmamış belirli bir hasta grubuna yöneliktir. Yaş aralığı genellikle 15-25 yaş arasıdır, ancak yaş tek başına yeterli bir kriter değildir.
En sık uygulandığı durumlar şunlardır: üst çene darlığına bağlı çapraz kapanış, çapraşıklığa neden olan üst çene yer darlığı, dar gülüş estetiğinden şikayetli vakalar, üst çene darlığına bağlı burun solunumu güçlüğü, kapsamlı ortodontik tedavi öncesi yer kazanma ihtiyacı ve hafif uyku apnesinde destekleyici tedavi.
Kararın temeli üç boyutlu konik ışınlı bilgisayarlı tomografi (CBCT) ile sutur olgunlaşma seviyesinin değerlendirilmesidir. Angelieri sınıflandırması olarak bilinen bu sistemde sutur 5 farklı evreye ayrılır (A, B, C, D, E). MARPE genellikle A, B ve C evrelerinde başarılı olur; D ve E evrelerinde cerrahi destekli SARPE daha güvenilir sonuç verir. Doredent'te Uzm. Dt. Merve Özkan Akagündüz tarafından yapılan ilk muayenede uygunluk dürüstçe değerlendirilir.
MARPE genellikle hastalar tarafından beklenenden çok daha rahat tolere edilir. Mini vidaların yerleştirilmesi lokal anestezi altında yapıldığı için işlem sırasında ağrı hissedilmez. İşlem sonrası birkaç gün damakta hafif rahatsızlık ve hassasiyet normaldir; bu dönemde reçete edilen ağrı kesicilerle kontrol sağlanır.
Aktif genişletme döneminde hasta evde aktivasyon vidalarını çevirdiğinde dişlerde, damakta ve burun-yüz bölgesinde geçici baskı hissi yaşanabilir. Bu durum genellikle birkaç saat içinde geçer ve tedavi sürecinin doğal bir parçasıdır. Şiddetli ve geçmeyen ağrı durumunda mutlaka klinikle iletişime geçilmelidir.
Apareyin damakta yer kapladığı için ilk birkaç gün konuşma ve beslenmede adaptasyon süreci yaşanır; bu durum hastaların büyük çoğunluğunda 1-2 hafta içinde tamamen geçer. Genel olarak MARPE'nin en yoğun rahatsızlığı ağrıdan değil, apareyin damaktaki varlığına alışma sürecinden kaynaklanır.
MARPE tedavisi süresi vakanın klinik gereksinimine göre değişir, ancak süreç genellikle birkaç farklı aşamadan oluşur.
Süreç şu aşamalardan oluşur: Mini vida yerleştirme ve aparey kurulumu tek seansta yaklaşık 30-60 dakikada tamamlanır. Aktif aktivasyon dönemi hastanın evde günlük olarak vidayı çevirmesiyle 2-4 hafta sürer. Pekiştirme dönemi aparey damakta kalmaya devam ederken 4-6 ay sürer; bu süreçte yeni oluşan kemik dokusu olgunlaşır. Sonraki ortodontik tamamlama Invisalign veya diş teli ile 12-24 ay sürebilir.
Yani MARPE tek başına bir tedavi değil, kapsamlı bir ortodontik planın ilk aşamasıdır. Toplam tedavi süresi genellikle 18-30 ay arasında olur. Süreyi etkileyen faktörler şunlardır: üst çene darlığının şiddeti, eşlik eden ortodontik problemler, hasta uyumu (aktivasyon protokolüne ve hijyene) ve genel iyileşme hızı.
Evet, MARPE'nin aktif genişletme döneminde üst orta hattaki birleşim noktası (sutur) açıldığı için ön iki diş arasında belirgin bir boşluk oluşur. Bu duruma diastema denir.
Önemli olan şudur: Bu boşluk bir komplikasyon ya da problem değildir; aksine MARPE'nin başarılı şekilde işlediğinin, suturün açıldığının olumlu klinik göstergesidir. Pek çok hasta bunu görünce paniklemiş olabilir; ancak bu beklenen ve istenen bir bulgudur.
Diastema sonraki ortodontik tedavi sürecinde (Invisalign veya diş teli ile) kademeli olarak kapatılır. Pekiştirme döneminde de boşluk doğal olarak kısmen kapanmaya başlayabilir; ancak tam kapatma ortodontik tedavi ile sağlanır. Aparey çıkarıldığı zaman dişler arasında boşluk olmaz.
Evet, MARPE'nin başarısız olabileceği durumlar vardır. En sık karşılaşılan başarısızlık nedeni, hastanın üst damak suturünün ileri seviyede olgunlaşmış olmasıdır. Bu durumda mini vida desteğine rağmen sutur açılmayabilir; dişlerde devrilme görülür ancak gerçek iskeletsel genişleme sağlanmaz.
Diğer başarısızlık nedenleri şunlar olabilir: mini vidaların gevşemesi veya kırılması, asimetrik genişleme, hasta uyumsuzluğu (aktivasyon protokolüne uyulmaması), aktif diş eti hastalığı veya yetersiz hijyen nedeniyle enfeksiyon. Bu durumların büyük çoğunluğu doğru hasta seçimi, CBCT ile sutur değerlendirmesi ve titiz klinik takip ile büyük ölçüde minimize edilebilir.
MARPE başarısız olursa Doredent'te anlaşmalı çene cerrahımız Uzm. Dt. Tayfun Cıvak ile koordineli olarak SARPE alternatifi sunulur. Cerrahi destekli bu yöntem sutur olgunlaşması ileri vakalarda da güvenilir genişleme sağlar.
Evet, MARPE sonrası ortodontik tedavi neredeyse tüm vakalarda gereklidir. MARPE tek başına bir tedavi değil, üst çene genişletme aşamasıdır; sonrasında dişlerin nihai pozisyona getirilmesi ve kapanış ilişkisinin düzenlenmesi için ortodontik tedavi şarttır.
Ortodontik tedavinin gerekçeleri şunlardır: aktif genişletme sonucu oluşan diastemanın kapatılması, dişlerin yeni çene boyutuna uygun şekilde dizilmesi, eşlik eden çapraşıklık ve kapanış bozukluklarının düzeltilmesi, üst-alt diş ilişkisinin düzenlenmesi.
Doredent'te ortodontik tedavi seçeneği olarak Invisalign şeffaf plak veya klasik diş teli sunulur. Diamond Provider unvanına sahip ortodonti uzmanımız Merve Hoca tarafından hangi yöntemin sizin için uygun olduğu detaylı olarak açıklanır. MARPE'yi tek başına bir tedavi olarak düşünmek gerçekçi değildir; kapsamlı ortodontik planlamanın bir parçası olarak değerlendirilmelidir.
Hayır, mini vidalar pekiştirme dönemi tamamlandıktan sonra çıkarılır ve damakta kalıcı izler bırakmaz.
Vidaların çıkarılma işlemi lokal anestezi gerektirmeden, klinik koşullarda kısa sürede tamamlanır. Hasta bu işlem sırasında hafif baskı hissedebilir ancak ağrı yaşanmaz. Vidaların çıkarıldığı noktalardaki küçük boşluklar birkaç gün içinde kendiliğinden iyileşir; vücut bu açıklıkları doğal olarak kapatır.
Çoğu hastada vida bölgelerinde herhangi bir kalıcı iz veya boşluk görülmez. Çok nadir vakalarda ufak bir doku düzensizliği kalabilir, ancak bu durum hastanın günlük yaşamını etkilemez ve gözle fark edilmez. Damak içerisinde olduğu için estetik bir kaygı oluşturmaz.
Pek çok hasta için evet. Üst çene darlığı dar nazal kavite ile yakından ilişkilidir; üst çene genişletildiğinde nazal kavite hacmi de artar. Bu sayede burun solunumu kalitesi belirgin şekilde iyileşebilir.
İyileşmenin derecesi şu faktörlere bağlıdır: üst çene darlığının şiddeti, mevcut burun solunumu güçlüğünün üst çene darlığından kaynaklanma derecesi, eşlik eden başka burun anatomik sorunlarının olup olmadığı (deviasyon, polip, alerjik rinit gibi). Sadece üst çene darlığına bağlı burun solunumu güçlüğü vakalarında MARPE belirgin iyileşme sağlayabilir; ancak başka anatomik sorunlar varsa KBB konsültasyonu önerilir.
MARPE ile burun solunumunun iyileşmesinin yan etkilerinden biri uyku kalitesinde de iyileşme olabilir. Hafif uyku apnesi ve horlama yaşayan hastalarda MARPE destekleyici bir tedavi olarak değerlendirilebilir; ileri uyku apnesi vakalarında ise multidisipliner yaklaşımla ortognatik cerrahi gerekebilir.
Diş Hekimlerimiz
Alanında uzman hekimlerimizle tanışın.
Kaynaklar
Bu sayfadaki bilgiler, uluslararası diş hekimliği cemiyetlerinin güncel kılavuzlarına, hakemli bilimsel yayınlara ve akademik standart kabul edilen referans kitaplara dayandırılarak hazırlanmıştır.
Kaynakları Görüntüle(4)
- American Association of Orthodontists (AAO). Benefits of Early Orthodontics: Why Start Treatment Early? AAO Consumer Resources.
- Kapetanović A, Theodorou CI, Bergé SJ, Schols JGJH, Xi T. Efficacy of Miniscrew-Assisted Rapid Palatal Expansion (MARPE) in late adolescents and adults: a systematic review and meta-analysis. European Journal of Orthodontics, 2021.
- Zeng W, Yan S, Yi Y, Chen H, Sun T, Zhang Y, Zhang J. Long-term efficacy and stability of miniscrew-assisted rapid palatal expansion in mid to late adolescents and adults: a systematic review and meta-analysis. BMC Oral Health, 2023.
- Proffit WR, Fields HW, Larson B, Sarver DM. Contemporary Orthodontics, 6th Edition. Elsevier, 2018.
İçerik Bilgileri
Bu sayfa Dore Tıbbi Yayın Kurulu tarafından hazırlanmış ve Uzm. Dt. Merve Özkan Akagündüz tarafından tıbbi olarak incelenmiştir.



