Uzman Diş Hekimi Merve Özkan Akagündüz‘ün anlatımıyla Frenektomi tedavisi hakkında bilgi alın.
Dil veya Dudak Bağının Alınması Frenektomi
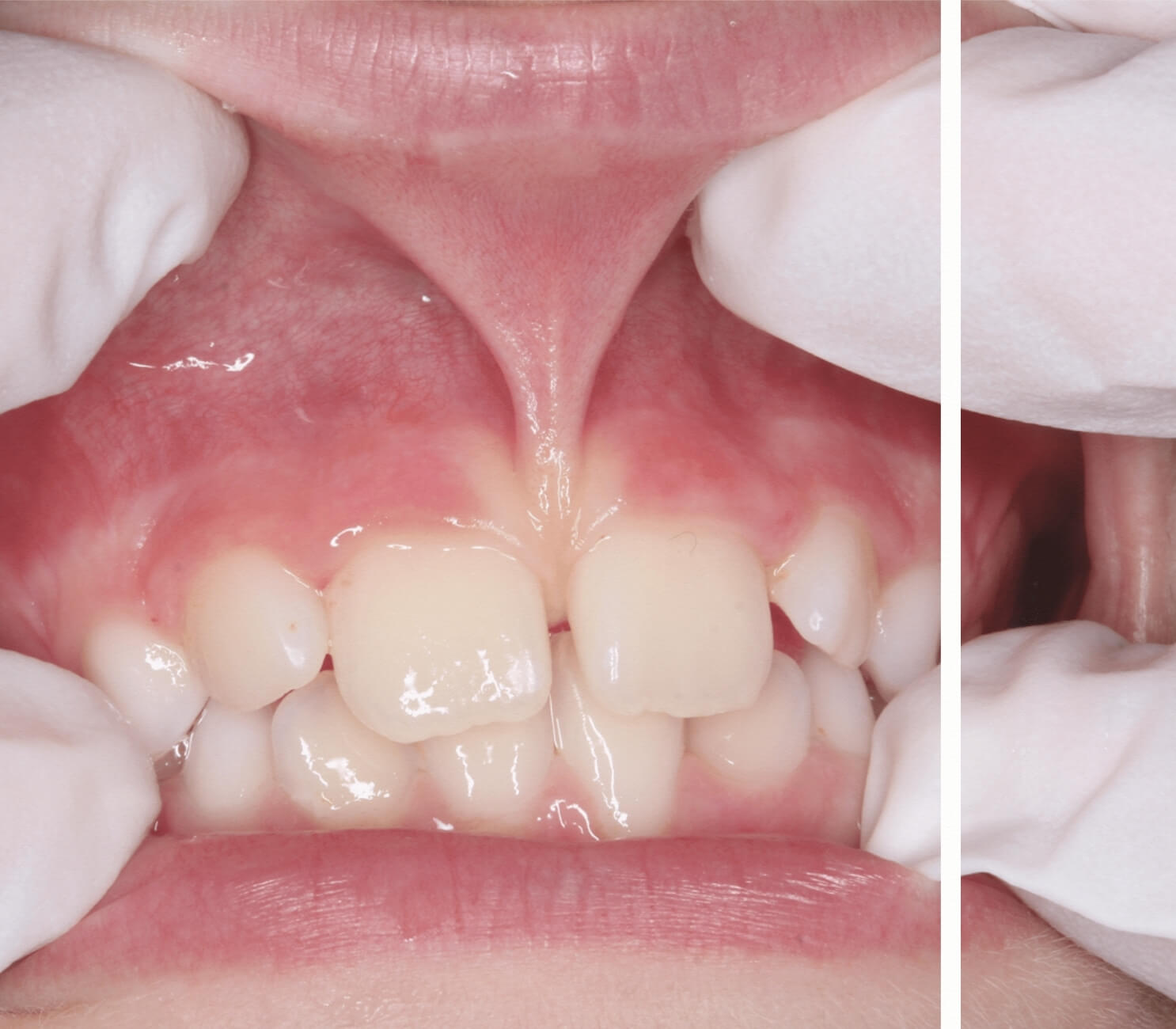
Frenektomi, Doredent İstanbul
Dudakların ve dilin diş etine tutunmasını sağlayan yumuşak doku parçasına ‘frenulum’ denilmektedir. Halk arasında dudaklar için olana dudak bağı, dil için olana dil bağı kelimesinin kullanımı daha sıktır. Frenulum kişiden kişiye farklı sayıda ve yapıda olabilmektedir.
Frenulum çok kısa, büyük veya kalın olduğunda birtakım sorunlara sebep olabilmektedir. Dil bağında oluşan sorunlar sıklıkla konuşma bozukluklarına ve diş eti çekilmelerine, dudak bağında oluşan sorunlar dişler arasında boşluk oluşumuna neden olabilmektedir. Frenulum sorunlarına en sık ön iki dişinin arasında boşluk olan vakalarda rastlamaktayız.
Frenulum dokusunun sorun yarattığı durumlarda alınması için uygulanan tedaviye frenektomi denilmektedir. Frenektomi işlemini sıklıkla diş hekimleri ile ağız ve diş cerrahları uygulamaktadır. Frenektomi işlemi lokal anestezi altında yapılan basit bir cerrahi işlemdir. İşlem sırasında ağrı ya da acı hissedilmez. İşlem geleneksel olarak kesi ile, elektrocerrahi ya da lazer kullanılarak yapılabilir. Son derece basit ve konforlu bir işlemdir. İşlem süresi yaklaşık 15-20 dakikadır. Kişi işlemden hemen sonra günlük hayatına devam edebilmektedir.
Frenektomi işlemi, kesi ile yapıldı ve erimeyen dikişlerden kullanıldıysa işlemden 1 hafta sonra dikişlerin alınması gerekir. Kendiliğinden eriyen dikişlerin kullanıldığı durumlarda bu işleme gerek kalmaz. Lazer kullanılarak yapılan frenektomi işleminde dikiş atılmaz.
Frenektomi işleminin yapılması bazı vakalarda bir gereklilik olarak karşımıza çıkar. Bu işlemin kişiye herhangi bir olumsuz etkisi olmaz. İşlem sonrası ağız içi mukozada iz kalmaz.
Frenektomi işlemi, frenulum dokusunun sorunlu olduğu ve konuşma bozukluğu yaşayan çocuklara, frenulumun diş eti çekilmesine ya da üst ön dişler arasında boşluk oluşumuna sebep olduğu durumlarda, estetik kaygılar nedeniyle, protez yapımına engel teşkil ettiğinde, emme refleksinin tam olarak gerçekleşmesine engel olduğu bebeklerde uygulanabilmektedir.
Frenektomi için, belirli bir yaş aralığı yoktur. Emme fonksiyonunun etkilendiği durumlarda zaman kaybedilmeden, ön dişler arası boşluk olduğu durumlarda köpek dişleri çıktıktan sonra ortodonti uzmanı görüşüne göre belirlenen bir sürede, konuşma bozukluğunun görüldüğü durumlarda 5 yaş civarı dönem uygun olabilmektedir. Daha detaylı ve net bir bilgi edinebilmek için bir uzman görüşü almanız gerekmektedir.
Frenektomi işlemi sonrası bebekler, eğer farklı bir sorun yoksa hemen emmeye başlayabilirler. Çocuklarda ya da yetişkinlerde beslenme için, lokal anestezinin etkisinin geçmesi daha iyi olur. Enfeksiyon oluşmaması için ağız bakımına özen gösterilmelidir. Ağız gargaralarının kullanımı fayda sağlar.
Ağız mukozasının iyileşme hızı yüksek olduğundan işlem sonrası ilk hafta bölgenin iyileşmesi büyük oranda gerçekleşmektedir. Tam anlamıyla iyileşme için 3 haftaya yakın bir süre gerekebilmektedir. Bu süreç içerisinde ağrı sorunu hafif düzeyde olur ya da hiç olmaz. Basit bir ağrı kesici kullanımı çoğunlukla yeterli olacaktır.
Uzm. Dt. Merve Özkan Akagündüz
1988 tarihinde Edirne’de doğdum. 2007 yılında İstanbul Üniversitesi (Çapa) Diş Hekimliği Fakültesinde yüksek lisans eğitimine başladım. 2012 yılında mezun oldum.
2014 yılında Süleyman Demirel Üniversitesi Diş Hekimliği Fakültesi Ortodonti Anabilim dalında uzmanlık eğitimine başladım. 2019 yılında Ortodonti Uzmanı unvanı aldım ve Çorlu ADSM’ye atandım ve 2019-2022 yılları arasında Ortodonti Uzmanı Diş Hekimi olarak görev yaptım.
2024 yılından itibaren kendi kliniğimde çalışmalarıma devam etmekteyim.





